2.0 mm Mandible Locking Plate System

The 2.0 mm Mandible Locking Plate is the standard plating system for mandible trauma and reconstruction.

Double Angle Plates

They are provided in two thicknesses, large (1.5 mm) and extra (2.0 mm). Specific Bending Templates for the Double Angle Plates are available. The plates are designed for reconstruction and trauma cases which need a both sided fixation. Bending and adaption will be easier due to the anatomical preforming.


Bending Templates
The Bending Template for the Mandible Locking Plate 2.0 helps contouring of the plate. The templates are manufactured out of AL1100FN1 which is an aluminium alloy well suited for this application due to its strength and ductility.


Swivel-Fixed Screwdriver
The Swivel-Fixed Screwdriver is designed for the manual insertion and placement of 2.0 mm, 2.4 mm and 3.0 mm maxillofacial screws used in maxillofacial surgery. The ergonomic screwdriver handle has a single assembly design which makes it easy to use, and is available in one size. It provides for two operating positionsswivel (rotating) and fixed (locked). The screwdriver accepts all maxillofacial hex coupling blades/ taps.

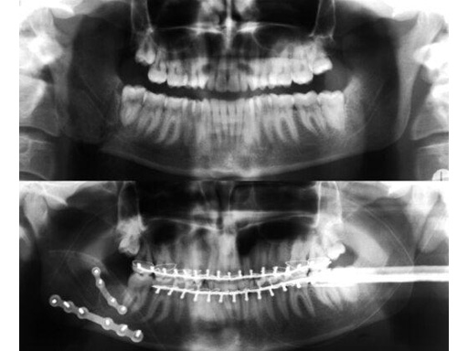
Pre- and postoperative x-rays of a right mandibular angle fracture treated with two 2.0 mm Mandible Locking Plates (mini and extra).

Hazards and labeling

Due to varying countries’ legal and regulatory approval requirements, consult the appropriate local product labeling for approved intended use of the products described on this website. All devices on this website are approved by the AO Technical Commission. For logistical reasons, these devices may not be available in all countries worldwide at the date of publication. 


Legal restrictions

This work was produced by AO Foundation, Switzerland. All rights reserved by AO Foundation. This publication, including all parts thereof, is legally protected by copyright.

Any use, exploitation or commercialization outside the narrow limits set forth by copyright legislation and the restrictions on use laid out below, without the publisher‘s consent, is illegal and liable to prosecution. This applies in particular to photostat reproduction, copying, scanning or duplication of any kind, translation, preparation of microfilms, electronic data processing, and storage such as making this publication available on Intranet or Internet.

Some of the products, names, instruments, treatments, logos, designs, etc referred to in this publication are also protected by patents, trademarks or by other intellectual property protection laws (eg, “AO” and the AO logo are subject to trademark applications/registrations) even though specific reference to this fact is not always made in the text. Therefore, the appearance of a name, instrument, etc without designation as proprietary is not to be construed as a representation by the publisher that it is in the public domain.

Restrictions on use: The rightful owner of an authorized copy of this work may use it for educational and research purposes only. Single images or illustrations may be copied for research or educational purposes only. The images or illustrations may not be altered in any way and need to carry the following statement of origin “Copyright by AO Foundation, Switzerland”.

Check www.aofoundation.org/disclaimer for more information.

 

If you have any comments or questions on the articles or the new devices, please do not hesitate to contact us


“approved by AO Technical Commission” and “approved by AO Foundation”
The brands and labels “approved by AO Technical Commission” and “approved by AO Foundation”, particularly "AO" and the AO logo, are AO Foundation's intellectual property and subject to trademark applications and registrations, respectively. The use of these brands and labels is regulated by licensing agreements between AO Foundation and the producers of innovation products obliged to use such labels to declare the products as AO Technical Commission or AO Foundation approved solutions. Any unauthorized or inadequate use of these trademarks may be subject to legal action.

AO ITC Innovations Magazine

Find all issues of the AO ITC Innovations Magazine for download here.

Meet the Experts

Directly learn about AO Approved Solutions from the Experts themselves.

Innovation Awards

Recognizing outstanding achievements in development and fostering excellence in surgical innovation.