90 & 100 Toddler Osteotomy Plates

The toddler angled blade plate was one of the first products to result from the formation of the Paediatric Expert Group. The original inventory of blade plates for children included an infant plate with a T profile of 2 x 8mm, blade lengths of 26 and 32mm and a side plate based on a one third tubular plate. This is suitable for infant work when protected by a hip spica (such as in DDH). The next plate was the child plate, which had a T profile of 4.5 x 11mm, suitable lengths, but was based on a side plate that took 4.5 screws. This plate is too bulky for slim children with cerebral palsy who have narrow femora, and fractures through screw holes were seen.

The Toddler plate fills the gap. The T profile is 3 x 11mm, lengths 26, 32, 38mm, offsets of 4 and 8mm, and a side plate based on a 3.5mm DCP taking 3.5mm screws. Originally available as a 90 degree plate only, it is now also available in a 100 degree version to allow placement in the centre of the femoral neck in children with severe CP.

90 Toddler Osteotomy Plate
The 90 Toddler Osteotomy Plate 4 mm displacement with 38 mm blade length offers pediatric surgeons greater flexibility when performing intertrochanteric femoral osteotomies. The design of this Angled Blade Plate is identical to the existing 8 mm displacement with 38 mm blade length. The technique for insertion is the same.

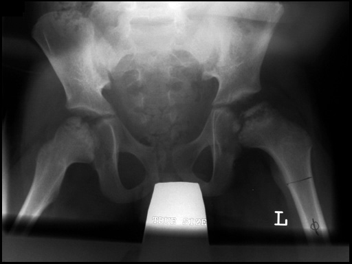
6-year-old boy with Legg-Calv-Perthes disease, preoperative x-ray.


6-year-old boy with Legg-Calv-Perthes disease, postoperative x-ray.

Hazards and labeling

Due to varying countries’ legal and regulatory approval requirements, consult the appropriate local product labeling for approved intended use of the products described on this website. All devices on this website are approved by the AO Technical Commission. For logistical reasons, these devices may not be available in all countries worldwide at the date of publication. 


Legal restrictions

This work was produced by AO Foundation, Switzerland. All rights reserved by AO Foundation. This publication, including all parts thereof, is legally protected by copyright.

Any use, exploitation or commercialization outside the narrow limits set forth by copyright legislation and the restrictions on use laid out below, without the publisher‘s consent, is illegal and liable to prosecution. This applies in particular to photostat reproduction, copying, scanning or duplication of any kind, translation, preparation of microfilms, electronic data processing, and storage such as making this publication available on Intranet or Internet.

Some of the products, names, instruments, treatments, logos, designs, etc referred to in this publication are also protected by patents, trademarks or by other intellectual property protection laws (eg, “AO” and the AO logo are subject to trademark applications/registrations) even though specific reference to this fact is not always made in the text. Therefore, the appearance of a name, instrument, etc without designation as proprietary is not to be construed as a representation by the publisher that it is in the public domain.

Restrictions on use: The rightful owner of an authorized copy of this work may use it for educational and research purposes only. Single images or illustrations may be copied for research or educational purposes only. The images or illustrations may not be altered in any way and need to carry the following statement of origin “Copyright by AO Foundation, Switzerland”.

Check www.aofoundation.org/disclaimer for more information.

 

If you have any comments or questions on the articles or the new devices, please do not hesitate to contact us


“approved by AO Technical Commission” and “approved by AO Foundation”
The brands and labels “approved by AO Technical Commission” and “approved by AO Foundation”, particularly "AO" and the AO logo, are AO Foundation's intellectual property and subject to trademark applications and registrations, respectively. The use of these brands and labels is regulated by licensing agreements between AO Foundation and the producers of innovation products obliged to use such labels to declare the products as AO Technical Commission or AO Foundation approved solutions. Any unauthorized or inadequate use of these trademarks may be subject to legal action.

AO ITC Innovations Magazine

Find all issues of the AO ITC Innovations Magazine for download here.

Meet the Experts

Directly learn about AO Approved Solutions from the Experts themselves.

Innovation Awards

Recognizing outstanding achievements in development and fostering excellence in surgical innovation.