Locking Distal Radius System 2.4
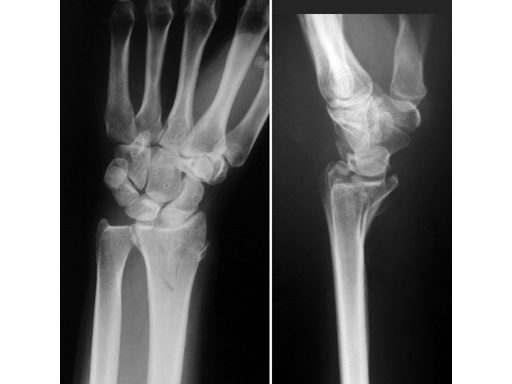
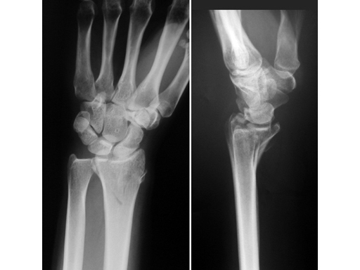
The Locking Distal Radius System 2.4 consists of the new plates: LCP T-Plate 2.4, LCP Radial Column Plate 2.4, LCP L-Plate 2.4, LCP Distal Radius Plate 2.4, dorsal (p-Plate), LCP Volar Plate 2.4, and LCP Volar Buttress Plate 2.4. The 2.4 mm Locking Head Screw, self-tapping, the 2.4 mm Cortex Screw, self-tappingboth with Stardrive recessand special instruments complete the new system. This variety of plates allows fragment-specific treatment of all patterns of distal radial fractures. Indications are simple and displaced extraarticular and intraarticular distal radial fractures and corrective osteotomies of the distal radius. All implants are manufactured in Ti15Mo resulting in excellent bending properties and resistance to fatigue failure, allowing reverse bending. The edges of all plates are chamfered to reduce sharp edges that could contribute to irritation of tendons. Surfaces are polished to minimize tissue adhesion. The distal arms provide a smooth gliding surface for the tendons. Different plate lengths are offered to avoid cutting. The angular stability of the construct allows treatment of osteoporotic bone.
Hazards and labeling
Due to varying countries’ legal and regulatory approval requirements, consult the appropriate local product labeling for approved intended use of the products described on this website. All devices on this website are approved by the AO Technical Commission. For logistical reasons, these devices may not be available in all countries worldwide at the date of publication.
Legal restrictions
This work was produced by AO Foundation, Switzerland. All rights reserved by AO Foundation. This publication, including all parts thereof, is legally protected by copyright.
Any use, exploitation or commercialization outside the narrow limits set forth by copyright legislation and the restrictions on use laid out below, without the publisher‘s consent, is illegal and liable to prosecution. This applies in particular to photostat reproduction, copying, scanning or duplication of any kind, translation, preparation of microfilms, electronic data processing, and storage such as making this publication available on Intranet or Internet.
Some of the products, names, instruments, treatments, logos, designs, etc referred to in this publication are also protected by patents, trademarks or by other intellectual property protection laws (eg, “AO” and the AO logo are subject to trademark applications/registrations) even though specific reference to this fact is not always made in the text. Therefore, the appearance of a name, instrument, etc without designation as proprietary is not to be construed as a representation by the publisher that it is in the public domain.
Restrictions on use: The rightful owner of an authorized copy of this work may use it for educational and research purposes only. Single images or illustrations may be copied for research or educational purposes only. The images or illustrations may not be altered in any way and need to carry the following statement of origin “Copyright by AO Foundation, Switzerland”.
Check www.aofoundation.org/disclaimer for more information.
If you have any comments or questions on the articles or the new devices, please do not hesitate to contact us.
“approved by AO Technical Commission” and “approved by AO Foundation”
The brands and labels “approved by AO Technical Commission” and “approved by AO Foundation”, particularly "AO" and the AO logo, are AO Foundation's intellectual property and subject to trademark applications and registrations, respectively. The use of these brands and labels is regulated by licensing agreements between AO Foundation and the producers of innovation products obliged to use such labels to declare the products as AO Technical Commission or AO Foundation approved solutions. Any unauthorized or inadequate use of these trademarks may be subject to legal action.
AO ITC Innovations Magazine
Find all issues of the AO ITC Innovations Magazine for download here.
Innovation Awards
Recognizing outstanding achievements in development and fostering excellence in surgical innovation.

