SynFix
SynFix is intended for use in the lumbar spine to facilitate fusion of the adjacent vertebrae. Its shape is based on the SynCage-LR with the addition of an integrated anterior fixation plate that re-establishes an anterior tension band following resection of the anterior longitudinal ligament. This fixation also provides additional stability in all directions of load and facilitates the use of this implant as a stand-alone device for the treatment of degenerative discs disease. The capacity to use this implant as a stand alone device enables the preservation of the vital posterior muscular structures to reduce the surgical morbidity associated with lumbar fusion surgery. First clinical experience in over 100 procedures in the past 18 months has shown that the construct is stable. Operation time and hospital stay was reduced significantly.
SynFix features a wedge shape, anatomical contour of the endplate interface, open structure for bone ingrowth. In order to achieve a stable fixation in flexion, extension and rotation, a titanium plate is integrated into the PEEK cage. Four locking head screws positioned in diverging angles provide purchase into the stronger peripheral bone near the anterior rim as the mechanical strong aspect of the vertebral bodies. The locking head screws provide considerable additional stability to the construct, similar to the widely used LCP principle in trauma. Biomechanical tests have demonstrated that the resultant stability is not significantly different from that of 360 fixation in flexion, extension and lateral bending, and is superior in torsion. These screws are self-tapping which improves the thread purchase.
SynFix-LR can be chosen in heights of 13.5, 15, 17 and 19 mm, with lordotic angles of either 8 or 12 and two different footprints of 32 26 mm or 38 30 mm. Specific instruments included in the SynFix-LR set serve to determine the correct implant size, to fill it with autologous bone, to insert the cage into the intervertebral space and finally to place the screws in the correct angles.
A 37-year-old female (65 kg and 170 cm tall) who suffered from back (L5/S1) and leg pain without neural compression for 2.5 years. She had a full range of conservative treatment and rehabilitation without benefit and reports a significant improvement in symptoms and function following surgery. She has returned to work with minimal restrictions in ongoing activities.
Intraoperative pictures.
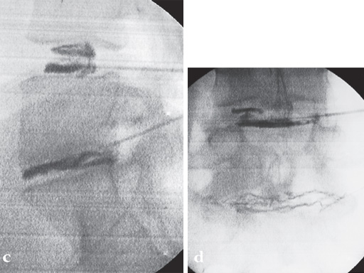
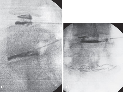
Postoperative pictures.
Hazards and labeling
Due to varying countries’ legal and regulatory approval requirements, consult the appropriate local product labeling for approved intended use of the products described on this website. All devices on this website are approved by the AO Technical Commission. For logistical reasons, these devices may not be available in all countries worldwide at the date of publication.
Legal restrictions
This work was produced by AO Foundation, Switzerland. All rights reserved by AO Foundation. This publication, including all parts thereof, is legally protected by copyright.
Any use, exploitation or commercialization outside the narrow limits set forth by copyright legislation and the restrictions on use laid out below, without the publisher‘s consent, is illegal and liable to prosecution. This applies in particular to photostat reproduction, copying, scanning or duplication of any kind, translation, preparation of microfilms, electronic data processing, and storage such as making this publication available on Intranet or Internet.
Some of the products, names, instruments, treatments, logos, designs, etc referred to in this publication are also protected by patents, trademarks or by other intellectual property protection laws (eg, “AO” and the AO logo are subject to trademark applications/registrations) even though specific reference to this fact is not always made in the text. Therefore, the appearance of a name, instrument, etc without designation as proprietary is not to be construed as a representation by the publisher that it is in the public domain.
Restrictions on use: The rightful owner of an authorized copy of this work may use it for educational and research purposes only. Single images or illustrations may be copied for research or educational purposes only. The images or illustrations may not be altered in any way and need to carry the following statement of origin “Copyright by AO Foundation, Switzerland”.
Check www.aofoundation.org/disclaimer for more information.
If you have any comments or questions on the articles or the new devices, please do not hesitate to contact us.
“approved by AO Technical Commission” and “approved by AO Foundation”
The brands and labels “approved by AO Technical Commission” and “approved by AO Foundation”, particularly "AO" and the AO logo, are AO Foundation's intellectual property and subject to trademark applications and registrations, respectively. The use of these brands and labels is regulated by licensing agreements between AO Foundation and the producers of innovation products obliged to use such labels to declare the products as AO Technical Commission or AO Foundation approved solutions. Any unauthorized or inadequate use of these trademarks may be subject to legal action.
AO ITC Innovations Magazine
Find all issues of the AO ITC Innovations Magazine for download here.
Innovation Awards
Recognizing outstanding achievements in development and fostering excellence in surgical innovation.


