Radiolucent Small External Fixator
The Radiolucent Small External Fixator is indicated for unstable fractures of the distal radius (intra- and extraarticular, as well as fractures with open and closed soft-tissue defect), injuries, fractures, dislocations, and burns in the wrist and forearm, fractures in connection with extensive soft-tissue injuries, bone loss and vessel and/or nerve involvement, fracture dislocations of the wrist, and in open pediatric fractures with bone loss.
The multi-functional clamp is flexible, holds different diameters, allows free pin placement, is easy to handle and radiolucent. The clamp accepts 4.0 mm rods and pins from 2.0 to 4.0 mm. It is made out of a carbon-fiber reinforced polymer which reduces weight without compromising stability. It is suitable for use in the MRI.
The two nuts allow for an independent fixation of the implant/rod which improves the fine-tuning of the reduction.
The set includes additional instruments as a disposable 4.0 mm drill sleeve, wrench (11 mm), and 4.0 mm T-handle, 4.0 mm connecting rods (80 and 100 mm lengths) and 4.0/3.0 mm self-drilling Schanz Screws (80 mm length).
Small Universal Chuck with T-Handle
The Small Universal Chuck with T-Handle is used to insert Schanz screws or wires from 1.0 - 6.0 mm diameters. The size of the T-Handle has been reduced for lighter weight and easier handling and will be available for all External Fixation Systems.
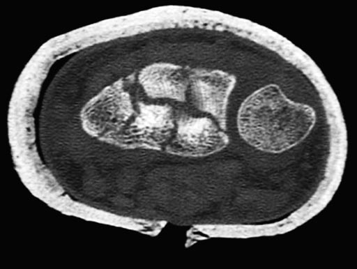
54-year-old female with 23-C3 fracture after fall
External fixator due to severe soft-tissue trauma. Palmar plate 1 week later. .
Hazards and labeling
Due to varying countries’ legal and regulatory approval requirements, consult the appropriate local product labeling for approved intended use of the products described on this website. All devices on this website are approved by the AO Technical Commission. For logistical reasons, these devices may not be available in all countries worldwide at the date of publication.
Legal restrictions
This work was produced by AO Foundation, Switzerland. All rights reserved by AO Foundation. This publication, including all parts thereof, is legally protected by copyright.
Any use, exploitation or commercialization outside the narrow limits set forth by copyright legislation and the restrictions on use laid out below, without the publisher‘s consent, is illegal and liable to prosecution. This applies in particular to photostat reproduction, copying, scanning or duplication of any kind, translation, preparation of microfilms, electronic data processing, and storage such as making this publication available on Intranet or Internet.
Some of the products, names, instruments, treatments, logos, designs, etc referred to in this publication are also protected by patents, trademarks or by other intellectual property protection laws (eg, “AO” and the AO logo are subject to trademark applications/registrations) even though specific reference to this fact is not always made in the text. Therefore, the appearance of a name, instrument, etc without designation as proprietary is not to be construed as a representation by the publisher that it is in the public domain.
Restrictions on use: The rightful owner of an authorized copy of this work may use it for educational and research purposes only. Single images or illustrations may be copied for research or educational purposes only. The images or illustrations may not be altered in any way and need to carry the following statement of origin “Copyright by AO Foundation, Switzerland”.
Check www.aofoundation.org/disclaimer for more information.
If you have any comments or questions on the articles or the new devices, please do not hesitate to contact us.
“approved by AO Technical Commission” and “approved by AO Foundation”
The brands and labels “approved by AO Technical Commission” and “approved by AO Foundation”, particularly "AO" and the AO logo, are AO Foundation's intellectual property and subject to trademark applications and registrations, respectively. The use of these brands and labels is regulated by licensing agreements between AO Foundation and the producers of innovation products obliged to use such labels to declare the products as AO Technical Commission or AO Foundation approved solutions. Any unauthorized or inadequate use of these trademarks may be subject to legal action.
AO ITC Innovations Magazine
Find all issues of the AO ITC Innovations Magazine for download here.
Innovation Awards
Recognizing outstanding achievements in development and fostering excellence in surgical innovation.










