Rapid IMF System - Temporary Mandibular Fixation Device

Most fracture treatments in the mandible or midface area will affect the dental occlusion and require temporary maxillo-mandibular or intermaxillary fixation (IMF). Although the well-established arch bar and circumdental wiring, and peralveolar screw systems provide good results for the benefit of the patient, frequent stick injuries due to the sharp stainless steel wires and the possibility of transmission of infectious diseases has led to the request by surgeons for a safer system.

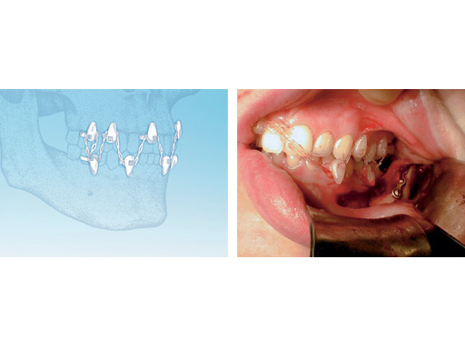
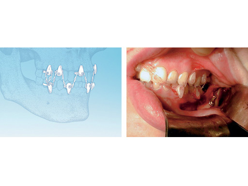
The Rapid IMF System has been developed in response to this request. This device is an innovative, adjustable flexible band, which is wrapped around individual teeth, similar to an orthodontic band. A long elastic chain is then looped around the strategically placed brackets to achieve IMF.

Rapid IMF is indicated for fracture reduction to assist in the operative treatment of simple nondisplaced, comminuted fractures in the mandible, maxilla, or both, where there is a sufficient occlusion to guide reduction. Rapid IMF is not a replacement for arch bars and wire. It can however, be used instead of arch bars in some specific instances. Case selection is of utmost importance. If used correctly, the Rapid IMF will provide a fast and safe IMF method without the risk of needlestick injuries for the surgeon.

To apply the Rapid IMF, at least six, preferably eight points are chosen for the placement of the nylon anchorage ties. After tightening and excess removal of all belts, a link of the elastic chain is passed over an anterior anchorage point and is looped over all anchorage ties in a zigzag manner and secured over an easily accessible upper anterior anchorage point.

It is very important to remember that Rapid IMF is designed only for routine trauma cases requiring temporary splintage. It would not be appropriate for comminuted fractures or orthognatic procedures, both of which might require a more prolonged maxillo-mandibular fixation period. The Rapid IMF ties are usually removed in the immediate perioperative period. If the surgeon chooses to leave them for a more prolonged period, close follow-up at regular intervals is mandatory to prevent damage to the teeth and supporting structures.

Indications

  • Preoperative fixation
  • Perioperative fixation
  • Short-term (up to 3 weeks) fixation for minimally displaced fractures
  • Splintage of post-jaw dislocation

Hazards and labeling

Due to varying countries’ legal and regulatory approval requirements, consult the appropriate local product labeling for approved intended use of the products described on this website. All devices on this website are approved by the AO Technical Commission. For logistical reasons, these devices may not be available in all countries worldwide at the date of publication. 


Legal restrictions

This work was produced by AO Foundation, Switzerland. All rights reserved by AO Foundation. This publication, including all parts thereof, is legally protected by copyright.

Any use, exploitation or commercialization outside the narrow limits set forth by copyright legislation and the restrictions on use laid out below, without the publisher‘s consent, is illegal and liable to prosecution. This applies in particular to photostat reproduction, copying, scanning or duplication of any kind, translation, preparation of microfilms, electronic data processing, and storage such as making this publication available on Intranet or Internet.

Some of the products, names, instruments, treatments, logos, designs, etc referred to in this publication are also protected by patents, trademarks or by other intellectual property protection laws (eg, “AO” and the AO logo are subject to trademark applications/registrations) even though specific reference to this fact is not always made in the text. Therefore, the appearance of a name, instrument, etc without designation as proprietary is not to be construed as a representation by the publisher that it is in the public domain.

Restrictions on use: The rightful owner of an authorized copy of this work may use it for educational and research purposes only. Single images or illustrations may be copied for research or educational purposes only. The images or illustrations may not be altered in any way and need to carry the following statement of origin “Copyright by AO Foundation, Switzerland”.

Check www.aofoundation.org/disclaimer for more information.

 

If you have any comments or questions on the articles or the new devices, please do not hesitate to contact us


“approved by AO Technical Commission” and “approved by AO Foundation”
The brands and labels “approved by AO Technical Commission” and “approved by AO Foundation”, particularly "AO" and the AO logo, are AO Foundation's intellectual property and subject to trademark applications and registrations, respectively. The use of these brands and labels is regulated by licensing agreements between AO Foundation and the producers of innovation products obliged to use such labels to declare the products as AO Technical Commission or AO Foundation approved solutions. Any unauthorized or inadequate use of these trademarks may be subject to legal action.

AO ITC Innovations Magazine

Find all issues of the AO ITC Innovations Magazine for download here.

Meet the Experts

Directly learn about AO Approved Solutions from the Experts themselves.

Innovation Awards

Recognizing outstanding achievements in development and fostering excellence in surgical innovation.