LCP Medial Distal Tibia Plate w/o tab 3.5
The LCP Medial Distal Tibia Plates 3.5 are indicated for fixation of complex intra- and extraarticular fractures and osteotomies of the distal tibia.
The LCP Medial Distal Tibia (LCP MDT) has a lower profile distally which is optimal for the medial side of the distal tibia where there is often little soft-tissue coverage. Since certain fracture patterns require more distal screw options, the LCP MDT has three diverging distal screws above the joint that capture the anterior and posterior fragments and place the plate more distally. The 3 distal locking head screws diverge across the subchondral bone. The distal locking holes accept 3.5 mm locking head screws, 2.7, 3.5 and 4.0 mm cortex screws.
Additionally, 2 combination holes were added distally in the head of the plate to allow placement of cancellous and cortex screws. These 2 combination holes distally accept 3.5 mm locking head, 3.5 mm or 4.0 mm cortex, or 4.0 mm cancellous bone screws. The distal K-wire hole accepts a 1.6 mm K-wire.
The plate shaft has been widened to 13.5 mm, which is comparable to a narrow LC-DCP 4.5. At the proximal end of the plate, an articulated tension device (ATD) hole was added to allow for compression and distraction
using the articulated tensioning device.
The plate shaft ranges from 414 combination holes.
The LCP MDT 3.5 is available in stainless steel (316L) and titanium.
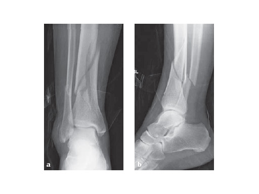
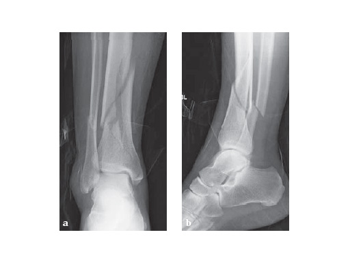
29-year-old female after a motor vehicel crash
Case provided by Sean Nork, Washington, USA
The fibula was reduced and stabilized through a posterolateral surgical approach. A small anterior incision was used to apply multiple clamps and to access the fracture reduction. A medial locked distal tibial plate was placed adjacent to the anteromedial surface of the tibia through a 4 cm distal incision. Multiple proximal screws were placed through small incisions overlying the plate.
Hazards and labeling
Due to varying countries’ legal and regulatory approval requirements, consult the appropriate local product labeling for approved intended use of the products described on this website. All devices on this website are approved by the AO Technical Commission. For logistical reasons, these devices may not be available in all countries worldwide at the date of publication.
Legal restrictions
This work was produced by AO Foundation, Switzerland. All rights reserved by AO Foundation. This publication, including all parts thereof, is legally protected by copyright.
Any use, exploitation or commercialization outside the narrow limits set forth by copyright legislation and the restrictions on use laid out below, without the publisher‘s consent, is illegal and liable to prosecution. This applies in particular to photostat reproduction, copying, scanning or duplication of any kind, translation, preparation of microfilms, electronic data processing, and storage such as making this publication available on Intranet or Internet.
Some of the products, names, instruments, treatments, logos, designs, etc referred to in this publication are also protected by patents, trademarks or by other intellectual property protection laws (eg, “AO” and the AO logo are subject to trademark applications/registrations) even though specific reference to this fact is not always made in the text. Therefore, the appearance of a name, instrument, etc without designation as proprietary is not to be construed as a representation by the publisher that it is in the public domain.
Restrictions on use: The rightful owner of an authorized copy of this work may use it for educational and research purposes only. Single images or illustrations may be copied for research or educational purposes only. The images or illustrations may not be altered in any way and need to carry the following statement of origin “Copyright by AO Foundation, Switzerland”.
Check www.aofoundation.org/disclaimer for more information.
If you have any comments or questions on the articles or the new devices, please do not hesitate to contact us.
“approved by AO Technical Commission” and “approved by AO Foundation”
The brands and labels “approved by AO Technical Commission” and “approved by AO Foundation”, particularly "AO" and the AO logo, are AO Foundation's intellectual property and subject to trademark applications and registrations, respectively. The use of these brands and labels is regulated by licensing agreements between AO Foundation and the producers of innovation products obliged to use such labels to declare the products as AO Technical Commission or AO Foundation approved solutions. Any unauthorized or inadequate use of these trademarks may be subject to legal action.
AO ITC Innovations Magazine
Find all issues of the AO ITC Innovations Magazine for download here.
Innovation Awards
Recognizing outstanding achievements in development and fostering excellence in surgical innovation.


