LCP Medial Proximal Tibia Plate 3.5 and 4.5
The LCP Medial Proximal Tibia Plates 3.5 and 4.5 are part of the LCP periarticular plating system. They are intended to buttress metaphyseal fractures of the medial tibia plateau, split-type fractures of the medial tibia plateau, medial split fractures with associated depressions and split or depression fractures of the medial tibia plateau. The plates may also be used for fixation of the proximal quarter (lateral and medial) of the tibia as well as segmental fractures of the proximal tibia. The 4.5 version may also be used for fixation of nonunions and malunions of the medial proximal tibia and tibia shaft, as well as opening and closing wedge tibial osteotomies.
The plates have a limited contact profile. The plate head is anatomically contoured to approximate the anteromedial proximal tibia. The plates feature 3 locking screw holes proximally, with trajectories parallel to the joint. These proximal locking head screws also converge in the lateral condyle. The 2 angled locking screw holes in the proximal part of the shaft converge with 2 of the proximal screws in the head of the plate.
The 3 convergent threaded screw holes in the head of the plate 4.5 accept 5.0 mm cannulated locking and 5.0 mm cannulated conical screws, while the plate 3.5 accepts 3.5 mm locking and 3.5 mm conical screws. The screw-hole pattern allows a raft of subchondral locking head screws to buttress and maintain reduction of the articular surface. This provides fixed angle support to the tibial plateau. Additionally, there are two 2.0 mm K-wire holes available for preliminary fixation with K-wires or meniscal repair with sutures.
Both plates are available in left and right versions. The 3.5 plate system is available from 220-hole lengths, the 4.5 version from 216-hole lengths. All plates come in either stainless steel or titanium.
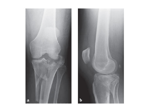
57-year-old malemotor accident
Case provided by Phil Kregor, Nashville, USA
Hazards and labeling
Due to varying countries’ legal and regulatory approval requirements, consult the appropriate local product labeling for approved intended use of the products described on this website. All devices on this website are approved by the AO Technical Commission. For logistical reasons, these devices may not be available in all countries worldwide at the date of publication.
Legal restrictions
This work was produced by AO Foundation, Switzerland. All rights reserved by AO Foundation. This publication, including all parts thereof, is legally protected by copyright.
Any use, exploitation or commercialization outside the narrow limits set forth by copyright legislation and the restrictions on use laid out below, without the publisher‘s consent, is illegal and liable to prosecution. This applies in particular to photostat reproduction, copying, scanning or duplication of any kind, translation, preparation of microfilms, electronic data processing, and storage such as making this publication available on Intranet or Internet.
Some of the products, names, instruments, treatments, logos, designs, etc referred to in this publication are also protected by patents, trademarks or by other intellectual property protection laws (eg, “AO” and the AO logo are subject to trademark applications/registrations) even though specific reference to this fact is not always made in the text. Therefore, the appearance of a name, instrument, etc without designation as proprietary is not to be construed as a representation by the publisher that it is in the public domain.
Restrictions on use: The rightful owner of an authorized copy of this work may use it for educational and research purposes only. Single images or illustrations may be copied for research or educational purposes only. The images or illustrations may not be altered in any way and need to carry the following statement of origin “Copyright by AO Foundation, Switzerland”.
Check www.aofoundation.org/disclaimer for more information.
If you have any comments or questions on the articles or the new devices, please do not hesitate to contact us.
“approved by AO Technical Commission” and “approved by AO Foundation”
The brands and labels “approved by AO Technical Commission” and “approved by AO Foundation”, particularly "AO" and the AO logo, are AO Foundation's intellectual property and subject to trademark applications and registrations, respectively. The use of these brands and labels is regulated by licensing agreements between AO Foundation and the producers of innovation products obliged to use such labels to declare the products as AO Technical Commission or AO Foundation approved solutions. Any unauthorized or inadequate use of these trademarks may be subject to legal action.
AO ITC Innovations Magazine
Find all issues of the AO ITC Innovations Magazine for download here.
Innovation Awards
Recognizing outstanding achievements in development and fostering excellence in surgical innovation.


