LCP Pediatric Hip Plate

The LCP Pediatric Hip is intended for use in pediatrics (children and adolescents from 216 years) and for small stature adult patients. Indications include intertrochanteric varus and valgus osteotomies, derotation osteotomies, combined intertrochanteric correction osteotomies, as well as femoral neck and pertrochanteric fractures.

The LCP Pediatric Hip adapts to the anatomy of the adolescent proximal femur. It features universal design for the left and right side. All implants are made of stainless steel and are available in two sizes: small for children from 48 years (depending on their physical development) and large for children from 816 years and small stature adults. The design of the plates for varus/valgus osteotomies, derotation osteotomies, as well as fracture stabilization is different as every plate is designed according to the special requirements.

The varus osteotomy plates have an offset (8 mm for small and 10 mm for large plates). All plates have 3 locking head screw holes in the upper part of the plate and 3 combination holes in the shaft, except for the fracture stabilization plate which has 4 holes in the shaft.

The two plates for varus osteotomies are available with either a 100 or a 110 screw angle which allows for placement of the proximal head screws in the center of the proximal head axis. The plate for valgus osteotomy is available with a 150 screw angle. The plate for trauma and derotation osteotomy has a 120 screw angle, according to a lower Centrum-Collum-Diaphysis (CCD) angle.

Depending on the indication, the LCP Pediatric Hip can be applied in two different surgical techniques:

If a maximal varus correction needs to be achieved, as for the treatment of adolescents with neuromusculary disease and nonwalking children, the so called fixed neck/shaft CCD angle technique is recommended. The plate defines the correction through the fixed plate-screw angle (100 or 110). This ensures optimal placement of the screws in the proximal head as well as a perfect correction.

If a defined-planned correction has to be performed, the calculated neck/shaft CCD angle technique is more appropriate. In this case, the selection of the optimal plate in the preoperative planning determines the placement of the proximal head screws according to the plate. This technique is recommended for idiopathic malpositions, morbus perthes, etc.

4-years-old female, CP, good walker

Fig. 1
Hip instability due to severe hip dysplasia and severe coxa valga

Fig. 2
Abduction shows an acceptable containment; a 35 varus OT bilateral in combination of a triple OT on the right is planned


Fig. 1-2
Intraoperative x-ray

Fig. 3-4
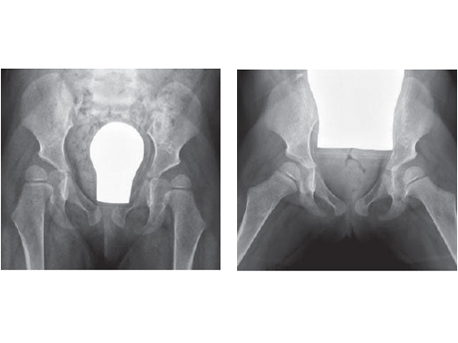
Postoperative x-ray with planned correction


Fig. 1-2
Postoperative x-ray with planned correction


Fig. 1
X-ray after 7 weeks, postoperative treatment with hip spica due to triple OT show good healing

Fig. 2
X-ray after 11 weeks, in turn the child can run well. The triple OT is now planned on the left!

Hazards and labeling

Due to varying countries’ legal and regulatory approval requirements, consult the appropriate local product labeling for approved intended use of the products described on this website. All devices on this website are approved by the AO Technical Commission. For logistical reasons, these devices may not be available in all countries worldwide at the date of publication. 


Legal restrictions

This work was produced by AO Foundation, Switzerland. All rights reserved by AO Foundation. This publication, including all parts thereof, is legally protected by copyright.

Any use, exploitation or commercialization outside the narrow limits set forth by copyright legislation and the restrictions on use laid out below, without the publisher‘s consent, is illegal and liable to prosecution. This applies in particular to photostat reproduction, copying, scanning or duplication of any kind, translation, preparation of microfilms, electronic data processing, and storage such as making this publication available on Intranet or Internet.

Some of the products, names, instruments, treatments, logos, designs, etc referred to in this publication are also protected by patents, trademarks or by other intellectual property protection laws (eg, “AO” and the AO logo are subject to trademark applications/registrations) even though specific reference to this fact is not always made in the text. Therefore, the appearance of a name, instrument, etc without designation as proprietary is not to be construed as a representation by the publisher that it is in the public domain.

Restrictions on use: The rightful owner of an authorized copy of this work may use it for educational and research purposes only. Single images or illustrations may be copied for research or educational purposes only. The images or illustrations may not be altered in any way and need to carry the following statement of origin “Copyright by AO Foundation, Switzerland”.

Check www.aofoundation.org/disclaimer for more information.

 

If you have any comments or questions on the articles or the new devices, please do not hesitate to contact us


“approved by AO Technical Commission” and “approved by AO Foundation”
The brands and labels “approved by AO Technical Commission” and “approved by AO Foundation”, particularly "AO" and the AO logo, are AO Foundation's intellectual property and subject to trademark applications and registrations, respectively. The use of these brands and labels is regulated by licensing agreements between AO Foundation and the producers of innovation products obliged to use such labels to declare the products as AO Technical Commission or AO Foundation approved solutions. Any unauthorized or inadequate use of these trademarks may be subject to legal action.

AO ITC Innovations Magazine

Find all issues of the AO ITC Innovations Magazine for download here.

Meet the Experts

Directly learn about AO Approved Solutions from the Experts themselves.

Innovation Awards

Recognizing outstanding achievements in development and fostering excellence in surgical innovation.