LCP Proximal Femoral Hook Plate 4.5
The LCP Proximal Femoral Hook Plate 4.5 is a stainless steel plate with a limited-contact profile. The proximal portion of the plate is anatomically contoured to approximate the lateral profile of the proximal femur with two proximal hooks for engaging the greater trochanter. The proximal screw hole accepts 7.3 mm cannulated locking and 7.3 mm cannulated conical screws, oriented at 95 to the plate shaft. The second locking hole accepts a 5.0 mm cannulated locking screw, oriented at 110 to the plate shaft and is angled to converge with the proximal 7.3 mm screw. The remaining screw holes are combination holes and accept 4.0 mm or 5.0 mm locking head screws in the threaded portion or 4.5 mm cortex screws in the dynamic compression unit (DCU).
The LCP Proximal Femoral Hook Plate 4.5 is indicated for fractures in the peritrochanteric and subtrochanteric region of the femur that have in common a primary fracture plane that can be tensioned (compressed) utilizing the plate to create a load sharing construct. The most frequent of these patterns are the reverse obliquity and transverse (true intertrochanteric) fractures. The typical insertion technique involves seating of the trochanteric hooks followed by proximal screw insertion (taking into account frontal and sagittal alignment). The side plate is then reduced to the shaft with an atraumatic plate reduction forceps. Horizontal plane alignment (rotation) is then verified and the plate is tensioned utilizing the articulated tension device (ATD). Side plate fixation follows.
The plate is also useful for ipsilateral combinations of the above patterns with shaft fractures. Nonunions and malunions in this region that meet the criteria of compressibility are also well suited to this plate.
An additional important indication is periprosthetic fracture about the femoral component of a total hip arthroplasty. The trochanteric fixation of the plate (both hook and screws) affords improved proximal fixation, in many cases limiting the need for circlage wires and screws angled around the stem. Compression of primary fracture planes remains desirable in the periprosthetic setting, but is often not possible and does not limit the utility of the plate in this clinical setting. The Plate is available in lengths of 133385 mm, or 216 holes.
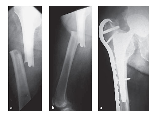
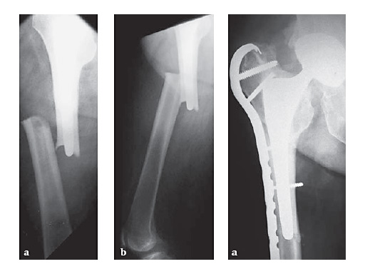
83-year-old maletrapped under tree he had cut downIDDM, HTN, CAD, etcJehovahs witnesson Plavix
Case provided by Keith Mayo, Tacoma, USA
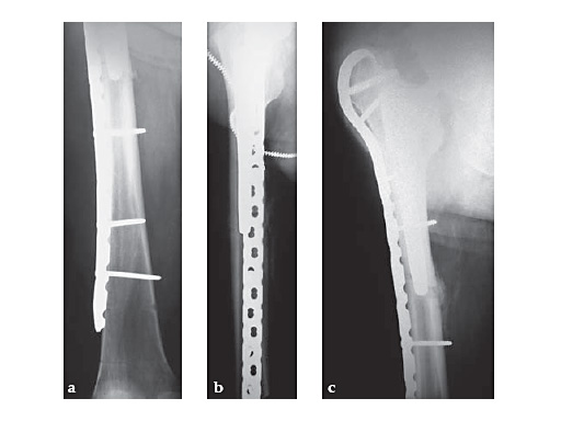
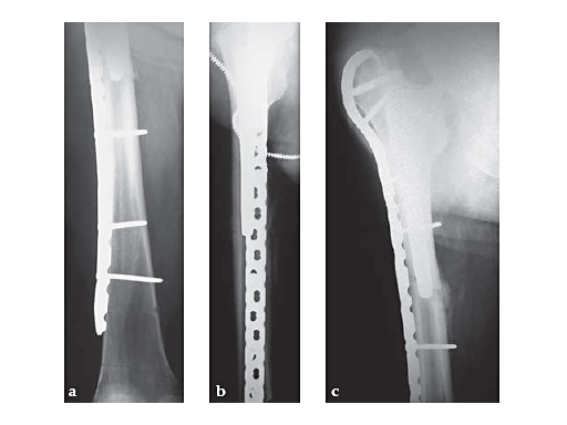
46-year-old female with an transverse intertrochanteric fracture
Case provided by Keith Mayo, Tacoma, USAHazards and labeling
Due to varying countries’ legal and regulatory approval requirements, consult the appropriate local product labeling for approved intended use of the products described on this website. All devices on this website are approved by the AO Technical Commission. For logistical reasons, these devices may not be available in all countries worldwide at the date of publication.
Legal restrictions
This work was produced by AO Foundation, Switzerland. All rights reserved by AO Foundation. This publication, including all parts thereof, is legally protected by copyright.
Any use, exploitation or commercialization outside the narrow limits set forth by copyright legislation and the restrictions on use laid out below, without the publisher‘s consent, is illegal and liable to prosecution. This applies in particular to photostat reproduction, copying, scanning or duplication of any kind, translation, preparation of microfilms, electronic data processing, and storage such as making this publication available on Intranet or Internet.
Some of the products, names, instruments, treatments, logos, designs, etc referred to in this publication are also protected by patents, trademarks or by other intellectual property protection laws (eg, “AO” and the AO logo are subject to trademark applications/registrations) even though specific reference to this fact is not always made in the text. Therefore, the appearance of a name, instrument, etc without designation as proprietary is not to be construed as a representation by the publisher that it is in the public domain.
Restrictions on use: The rightful owner of an authorized copy of this work may use it for educational and research purposes only. Single images or illustrations may be copied for research or educational purposes only. The images or illustrations may not be altered in any way and need to carry the following statement of origin “Copyright by AO Foundation, Switzerland”.
Check www.aofoundation.org/disclaimer for more information.
If you have any comments or questions on the articles or the new devices, please do not hesitate to contact us.
“approved by AO Technical Commission” and “approved by AO Foundation”
The brands and labels “approved by AO Technical Commission” and “approved by AO Foundation”, particularly "AO" and the AO logo, are AO Foundation's intellectual property and subject to trademark applications and registrations, respectively. The use of these brands and labels is regulated by licensing agreements between AO Foundation and the producers of innovation products obliged to use such labels to declare the products as AO Technical Commission or AO Foundation approved solutions. Any unauthorized or inadequate use of these trademarks may be subject to legal action.
AO ITC Innovations Magazine
Find all issues of the AO ITC Innovations Magazine for download here.
Innovation Awards
Recognizing outstanding achievements in development and fostering excellence in surgical innovation.



