LCP DHS with Collar
The LCP DHS with collar is used to treat femoral neck, inter- and pertrochanteric fractures. The LCP DHS with collar is a modification of the existing DHS. The collar allows for a moderate lateral buttress and accommodates the head of the antirotational screw. Additional features are the LCP holes and a bullet nose at the distal end. The angle of the collar is 15 and has been specifically designed to match the Asian anatomy. The LCP DHS with collar is compatible with the trochanter stabilization plate and the locking trochanter stabilization plate.
The surgical technique of the LCP DHS with collar is the same as that of the DHS. The only difference is that the antirotational screw must be inserted through the collar. However, the changes in geometry of the LCP DHS with collar (collar, LCP hole, undercuts, bullet nose at the distal end of the plate) offer the surgeon the possibility to achieve angular stability of the fixation and to choose a less invasive approach. Undercuts help to improve the periosteal blood supply.
The clinically well established geometry of the barrel (sliding mechanism) has not been changed.
The static test reveals a slightly higher stiffness for the new LCP DHS with collar plate/screws system compared to the standard DHS plate/screw system. With all performed dynamic tests the plate is the critical component of the DHS system and ist the first to fail.
The LCP DHS with collar is currently available in titanium aluminium niobium (TAN) only. The system will start with sizes 135 (35 holes) and 140 (35 holes). Additional sizes will be added later.
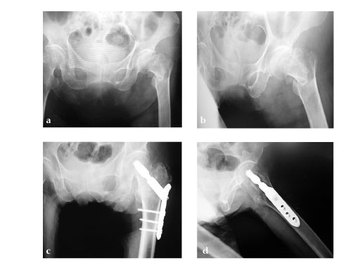
80-year-old female.
Case provided by Takefumi Kuroki, Fukuoka, JP
Hazards and labeling
Due to varying countries’ legal and regulatory approval requirements, consult the appropriate local product labeling for approved intended use of the products described on this website. All devices on this website are approved by the AO Technical Commission. For logistical reasons, these devices may not be available in all countries worldwide at the date of publication.
Legal restrictions
This work was produced by AO Foundation, Switzerland. All rights reserved by AO Foundation. This publication, including all parts thereof, is legally protected by copyright.
Any use, exploitation or commercialization outside the narrow limits set forth by copyright legislation and the restrictions on use laid out below, without the publisher‘s consent, is illegal and liable to prosecution. This applies in particular to photostat reproduction, copying, scanning or duplication of any kind, translation, preparation of microfilms, electronic data processing, and storage such as making this publication available on Intranet or Internet.
Some of the products, names, instruments, treatments, logos, designs, etc referred to in this publication are also protected by patents, trademarks or by other intellectual property protection laws (eg, “AO” and the AO logo are subject to trademark applications/registrations) even though specific reference to this fact is not always made in the text. Therefore, the appearance of a name, instrument, etc without designation as proprietary is not to be construed as a representation by the publisher that it is in the public domain.
Restrictions on use: The rightful owner of an authorized copy of this work may use it for educational and research purposes only. Single images or illustrations may be copied for research or educational purposes only. The images or illustrations may not be altered in any way and need to carry the following statement of origin “Copyright by AO Foundation, Switzerland”.
Check www.aofoundation.org/disclaimer for more information.
If you have any comments or questions on the articles or the new devices, please do not hesitate to contact us.
“approved by AO Technical Commission” and “approved by AO Foundation”
The brands and labels “approved by AO Technical Commission” and “approved by AO Foundation”, particularly "AO" and the AO logo, are AO Foundation's intellectual property and subject to trademark applications and registrations, respectively. The use of these brands and labels is regulated by licensing agreements between AO Foundation and the producers of innovation products obliged to use such labels to declare the products as AO Technical Commission or AO Foundation approved solutions. Any unauthorized or inadequate use of these trademarks may be subject to legal action.
AO ITC Innovations Magazine
Find all issues of the AO ITC Innovations Magazine for download here.
Innovation Awards
Recognizing outstanding achievements in development and fostering excellence in surgical innovation.
