LCP Volar Column Distal Radius Plate 2.4

The LCP volar column distal radius plate (VCP) 2.4 is indicated for fixation of complex intra- and extraarticular fractures, and especially for highly comminuted fractures, as well as corrective osteotomies of the distal radius.

The implant design is based upon a concept by Rikli and Regazzoni, who identified the structural columns of the distal radius and the need to not only reduce the articular components but also provide support for both the radial and ulnar sides equally.

The LCP VCP is anatomically contoured for the distal radius and has a low profile, which implies less overall implant bulk, minimizing soft-tissue irritation. It provides multiple screw options in the head of the plate (8- and 9-hole head configurations) to better support the articular surface and to address fracture fragments individually. A 3-screw cluster addresses the radial styloid. Four screws support the ulnar column.

The plate shaft is available in 3-, 4-, and 5-hole versions and accepts 2.4/2.7?mm cortex or 2.4?mm locking head screws.

The LCP VCP provides the option to use mini drill guides and standard threaded drill guides to confirm screw trajectory options.

The LCP VCP 2.4 comes in left and right versions. All plates are available in stainless steel and titanium. Overall, the system consists of 40 different plates, making it the most complete set for distal radius fractures available.

Distal Radial Fractures: Biomechanical Stability of a Nonspanning External Fixator compared to Volar Plate Osteosynthesis

Markus Windolf, Georg Gradl, Karsten Schwieger

Objective Distal radial fractures challenge the orthopedic surgeon due to complex fracture patterns and demanding functional rehabilitation. Volar plating of the radius has become a popular option since early mobilization of the wrist together with high biomechanical stability can be achieved when using angular stable locking implants. To avoid extensive disturbance of the biological environment as often reported for internal fixation, the use of nonspanning external fixators is considered as alternative treatment. This in vitro study compares the biomechanical performance of a newly proposed external fixator construct, securing the distal radius with multiple K-wires, to a volar plate osteosynthesis (LCP volar distal radius plate 2.4).

 

Fig 1 Nonspanning external fixator. Five K-wires are circularly arranged around the distal radius for improved stability. A 23-C2 fracture with dorsal comminution and intraarticular fracture line was simulated.


Materials and methods Five pairs of human cadaveric radii were used in the study. The bones were randomly instrumented with either a plate or an external fixator (Fig 1). A 23-C2 (Mller AO Classification of Fractures in Long Bones) comminuted 3-part fracture with volar cortical support was created. Loading at the wrist was simulated by a specially-designed seesaw allowing physiological force transmission of 60% via the scaphoid and 40% via the lunata column (Fig 2). Starting at 100N axial compression, cyclic loading was monotonically increased until failure of the construct (defined as 5 dorsal tilt). Motion of the fragments was measured relative to the shaft of the radius by means of optical motion tracking. Motion in the fracture gap at the beginning of the test and cycles to failure were identified for both study groups. Paired t-tests were used to assess statistical differences between groups.

 

Fig 2 Test setup. A custom-made seesaw was used for physiological load transfer.


Results All plate specimens showed loosing at the bone-screw interface. Only in some cases loosening of the distal K-wires could be observed for the fixator. Motion in the fracture gap was significantly higher for the plate group (P = 0.003, power = 0.99). Cycles to failure was found significantly higher for the external fixator construct (P = 0.034, power = 0.66) (Fig 3).

Conclusion This study showed superior biomechanical performance of a nonbridging external fixator compared to angular stable volar plating in a highly unstable distal radial fracture model. However, the outcome strongly depends on the fracture type. Strong volar cortex support is needed for the stability of the external fixator.

 

Fig 3 Cycles to failure (5 dorsal tilt) and motion in the fracture gap for both study groups.

LCP Volar Column Distal Radius 2.4: Instruments

A few new instruments have been designed to facilitate the use of the plate, simplify plate placement, simplify short drill-guides insertion, and to provide additional options for screw-length measurement, provisional plate fixation, and screw insertion.

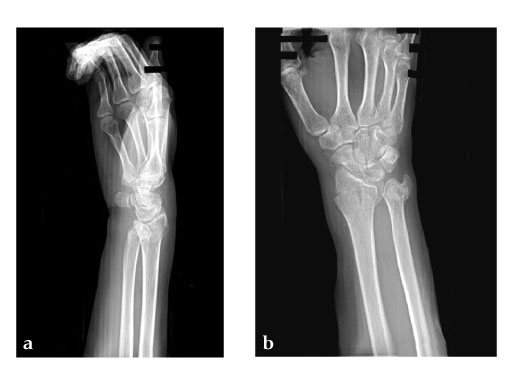
28-year-old woman.

Fig 1ab: X-rays preoperative.


Fig 2af: Step-by-step operative procedure.


Fig 3ab: X-rays postoperative.


Fig 4ad: Full motion recovery.

 

Case provided by Jesse Jupiter, Boston.

Hazards and labeling

Due to varying countries’ legal and regulatory approval requirements, consult the appropriate local product labeling for approved intended use of the products described on this website. All devices on this website are approved by the AO Technical Commission. For logistical reasons, these devices may not be available in all countries worldwide at the date of publication. 


Legal restrictions

This work was produced by AO Foundation, Switzerland. All rights reserved by AO Foundation. This publication, including all parts thereof, is legally protected by copyright.

Any use, exploitation or commercialization outside the narrow limits set forth by copyright legislation and the restrictions on use laid out below, without the publisher‘s consent, is illegal and liable to prosecution. This applies in particular to photostat reproduction, copying, scanning or duplication of any kind, translation, preparation of microfilms, electronic data processing, and storage such as making this publication available on Intranet or Internet.

Some of the products, names, instruments, treatments, logos, designs, etc referred to in this publication are also protected by patents, trademarks or by other intellectual property protection laws (eg, “AO” and the AO logo are subject to trademark applications/registrations) even though specific reference to this fact is not always made in the text. Therefore, the appearance of a name, instrument, etc without designation as proprietary is not to be construed as a representation by the publisher that it is in the public domain.

Restrictions on use: The rightful owner of an authorized copy of this work may use it for educational and research purposes only. Single images or illustrations may be copied for research or educational purposes only. The images or illustrations may not be altered in any way and need to carry the following statement of origin “Copyright by AO Foundation, Switzerland”.

Check www.aofoundation.org/disclaimer for more information.

 

If you have any comments or questions on the articles or the new devices, please do not hesitate to contact us


“approved by AO Technical Commission” and “approved by AO Foundation”
The brands and labels “approved by AO Technical Commission” and “approved by AO Foundation”, particularly "AO" and the AO logo, are AO Foundation's intellectual property and subject to trademark applications and registrations, respectively. The use of these brands and labels is regulated by licensing agreements between AO Foundation and the producers of innovation products obliged to use such labels to declare the products as AO Technical Commission or AO Foundation approved solutions. Any unauthorized or inadequate use of these trademarks may be subject to legal action.

AO ITC Innovations Magazine

Find all issues of the AO ITC Innovations Magazine for download here.

Meet the Experts

Directly learn about AO Approved Solutions from the Experts themselves.

Innovation Awards

Recognizing outstanding achievements in development and fostering excellence in surgical innovation.