2.4 and 3.0 mm Headless Compression Screws

2.4 mm headless compression screws (HCS) are indicated for fixation of fractures and nonunions in small bones and small bone arthrodeses, including scaphoid fractures; intraarticular fractures of the tarsals, metatarsals, carpals, and metacarpals; bunionectomies and osteotomies; arthrodeses of small joints (eg, phalanges); fractures of the patella, ulna, and radial styloid.

3.0 mm headless compression screws (HCS) are intended for fixation of intraarticular and extraarticular fractures and nonunions in small bones and small bone fragments; arthrodeses of small joints; bunionectomies and osteotomies, including scaphoid and other carpal bones, metacarpals, tarsals, metatarsals, patella, ulnar styloid, capitellum, radial head, and radial styloid.


The use of the small diameter guide wire allows precise placement of the cannulated HCS through small incisions. It is produced in a stainless steel with 1.5 times the usual bending strength. This prevents distortion of the thin wire on insertion, yet retains the accuracy of placement from the narrow diameter. Thread the head of the selected headless compression screw into the tip of the compression sleeve. Insert the screw into the bone using the compression sleeve construct. A guide wire marks the prescribed path for the cannulated HCS and secures the alignment of the fragments while the screw is being inserted.

The tip of the compression sleeve acts as a conventional lag screw head. When the tip of the compression sleeve contacts the bone, the fracture gap is closed and is compressed analog to the function of a lag screw. The instrumentation allows the surgeon to directly control the amount of compression.

Following compression of the fracture, hold the compression sleeve stationary and use the screwdriver to advance the screw head out of the sleeve and into the bone.

The screws are available in different thread lengths. The 2.4 mm HCS has a short thread (940 mm length, 410 mm thread lengths) and a long thread (1740 mm lengths and 616 mm thread lengths). The 3.0 mm HCS comes in almost the same variety. This allows for optimal purchase in the far fragment for maximum compression and stability.

All implants are available in implant quality 316L stainless steel and commercially pure titanium.


The ability to provide complete control in compression is a major technical advance in this type of implant. No external jig is required, the optimum path, position, and length of the implant can be selected for each case, and the surgeon retains control over selecting the most appropriate degree of compression. A second, parallel guide wire is often recommended to prevent the significant torque force of the insertion process producing a malunion by rotation of the fragments.

Future line extension will soon be available and feature 1.5 mm (not cannulated), 4.5 mm, and 6.5 mm sizes.

 

1 Insert screw Thread the head of the headless compression screw into the tip of the compression sleeve. Insert the screw into the bone using the compression sleeve construct

2 Compress The tip of the compression sleeve acts as a conventional lag screw head. When the tip of the compression sleeve contacts the bone, the fracture gap is closed and compressed as with lag screw.

3 Countersink Following compression of the fracture, hold the compression sleeve stationary and use the screwdriver to advance the screw head into the bone.

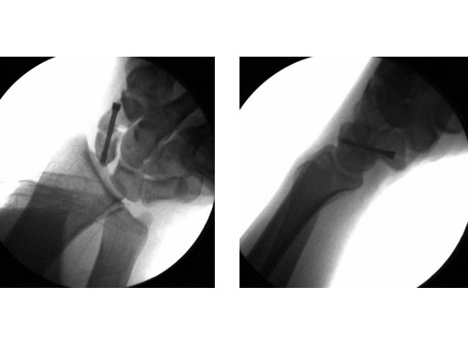
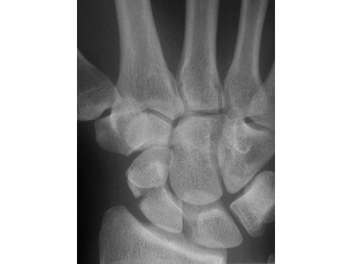
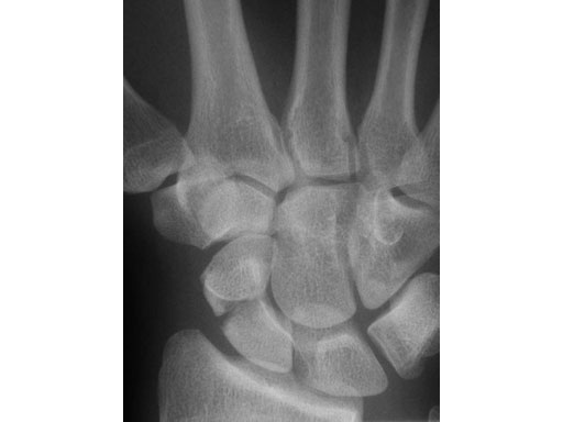
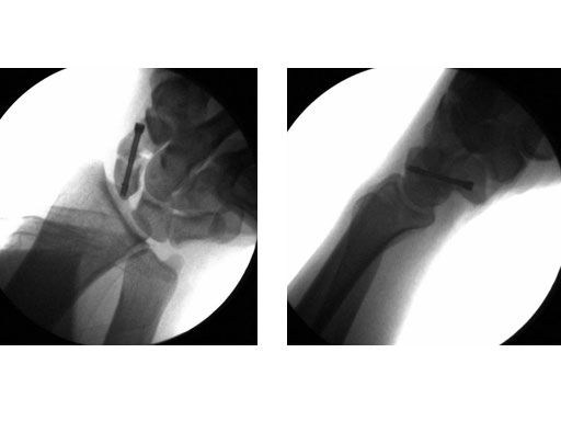
24-year-old male with an acute scaphoid wrist fracture treated by percutaneous fixation with a 3.0 mm headless compression screw under regional anesthesia.

 

Fig 1 Preoperative x-ray.


Fig 2ab Intraoperative images.


Fig 3ab Postoperative images.

 

Case provided by Doug Campbell, West Yorkshire, GB

Hazards and labeling

Due to varying countries’ legal and regulatory approval requirements, consult the appropriate local product labeling for approved intended use of the products described on this website. All devices on this website are approved by the AO Technical Commission. For logistical reasons, these devices may not be available in all countries worldwide at the date of publication. 


Legal restrictions

This work was produced by AO Foundation, Switzerland. All rights reserved by AO Foundation. This publication, including all parts thereof, is legally protected by copyright.

Any use, exploitation or commercialization outside the narrow limits set forth by copyright legislation and the restrictions on use laid out below, without the publisher‘s consent, is illegal and liable to prosecution. This applies in particular to photostat reproduction, copying, scanning or duplication of any kind, translation, preparation of microfilms, electronic data processing, and storage such as making this publication available on Intranet or Internet.

Some of the products, names, instruments, treatments, logos, designs, etc referred to in this publication are also protected by patents, trademarks or by other intellectual property protection laws (eg, “AO” and the AO logo are subject to trademark applications/registrations) even though specific reference to this fact is not always made in the text. Therefore, the appearance of a name, instrument, etc without designation as proprietary is not to be construed as a representation by the publisher that it is in the public domain.

Restrictions on use: The rightful owner of an authorized copy of this work may use it for educational and research purposes only. Single images or illustrations may be copied for research or educational purposes only. The images or illustrations may not be altered in any way and need to carry the following statement of origin “Copyright by AO Foundation, Switzerland”.

Check www.aofoundation.org/disclaimer for more information.

 

If you have any comments or questions on the articles or the new devices, please do not hesitate to contact us


“approved by AO Technical Commission” and “approved by AO Foundation”
The brands and labels “approved by AO Technical Commission” and “approved by AO Foundation”, particularly "AO" and the AO logo, are AO Foundation's intellectual property and subject to trademark applications and registrations, respectively. The use of these brands and labels is regulated by licensing agreements between AO Foundation and the producers of innovation products obliged to use such labels to declare the products as AO Technical Commission or AO Foundation approved solutions. Any unauthorized or inadequate use of these trademarks may be subject to legal action.

AO ITC Innovations Magazine

Find all issues of the AO ITC Innovations Magazine for download here.

Meet the Experts

Directly learn about AO Approved Solutions from the Experts themselves.

Innovation Awards

Recognizing outstanding achievements in development and fostering excellence in surgical innovation.