Adolescent Lateral Entry Femoral Nail

The adolescent lateral entry femoral nail (ALFN) is intended for use in adolescents and small stature adults depending on the persons' weight, body size, physiological development, neurological development, and neuromuscular coordination. The ALFN is indicated to stabilize fractures of the femoral shaft, subtrochanteric, ipsilateral neck/shaft and impending pathological fractures, as well as nonunions and malunions of the femur (Fig 1). The ALFN can also be used to stabilize corrective osteotomies in bone dysplasias such fibrous dysplasia where femoral deformity is an issue.

Conventional antegrade nailing of the femur in this age group is a concern because of the possibility of avascular necrosis of the femoral head. This is rare but devastating. The ALFN has a lateral trochanteric entry point and a double curved configuration (double bend in two planes and additional tip bend) to avoid compromising the ascending branch of the medial femoral circumflex artery near the piriformis fossa. The recommended entry site is on the bare aspect of the greater trochanter 1520 mm distal to the tip of the greater trochanter and forms an angle of 1214 lateral to the greater trochanter, as measured from the lateral entry point to a point 20 mm distal to the lesser trochanter (Fig 2).

The ALFN is cannulated and has 8.2 mm shaft diameter and a proximal diameter of 11 mm. The nail comes in lengths from 240400 mm in 20 mm increments. Additional diameters of 9 mm and 10 mm are under development. For the opening, a 13.0 mm cannulated drill bit is used.

The ALFN features the same proximal locking options as the LFN (two recon locking screws, one transverse slot for a static or dynamic locking screw, and one 120 antegrade locking screw). The recon screws are 5.0 mm solid, self-tapping shaft screws available in lengths from 50125 mm. For distal locking, two lateral to medial locking screws can be used. It is of major importance to ensure that the wires and drill bits used for the recon screw insertion do not cross the capital femoral physis, and that the distal end of the nail stops 15 mm short of the distal femoral physis.


The adolescent lateral entry femoral nail is part of the expert nail family, therefore most instrumentation is identical, except for a new insertion handle aiming arm (Fig 3), 13 mm drill sleeve, and 5.0 mm recon screw drill bit. The ease of finding the entry point is maximized if the greater trochanter is positioned in profile to the beam of the C-arm. This can be done in either supine or lateral decubitus position.

A 15-year-old male sustained an extensive soft-tissue injury with loss of bone after a gunshot (low-velocity, large caliber bullet). Neurovascular status intact, large exit wound.

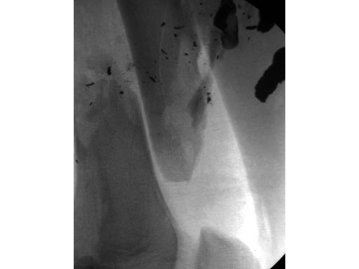
The open injury (Fig 1) was debrided and cleansed. There was missing bone from the femur. Open but rapidly closing growth plates.

 

Fig 1 Preoperative lateral x-ray.


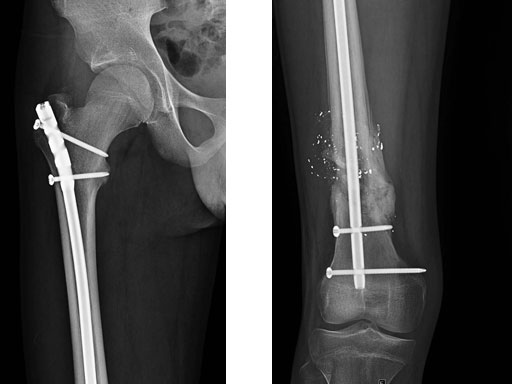
After stabilizing the fracture with an intramedullary nail (Fig 2) the patient was mobilized with weight bearing as tolerated. Uneventful healing and range of motion of the knee and functional ambulation returned to normal. Alignment of the fracture has been maintained with healing and maturation of callus processing as predicted. Blood supply to the proximal femur has been reserved with no signs of avascular necrosis. The ALFN's lateral entry point makes the nail insertion safer and diminishes the risk of circumflex artery injury.

 

Fig 2 Immediate postoperative AP x-ray.


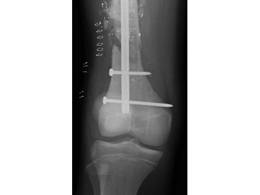
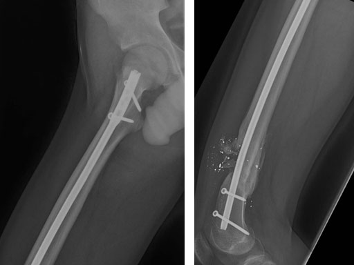
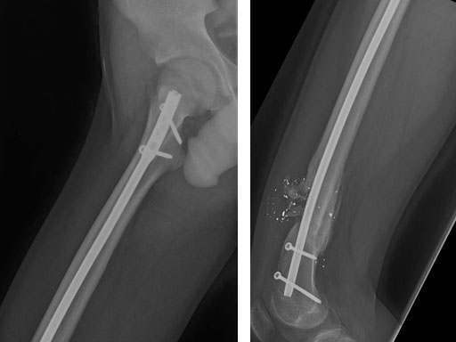
Fig 3ab AP x-rays 6 months postoperatively.


Fig 3cd Lateral x-rays 6 months postoperatively.

 

Case provided by Richard Reynolds, Detroit, USA

Hazards and labeling

Due to varying countries’ legal and regulatory approval requirements, consult the appropriate local product labeling for approved intended use of the products described on this website. All devices on this website are approved by the AO Technical Commission. For logistical reasons, these devices may not be available in all countries worldwide at the date of publication. 


Legal restrictions

This work was produced by AO Foundation, Switzerland. All rights reserved by AO Foundation. This publication, including all parts thereof, is legally protected by copyright.

Any use, exploitation or commercialization outside the narrow limits set forth by copyright legislation and the restrictions on use laid out below, without the publisher‘s consent, is illegal and liable to prosecution. This applies in particular to photostat reproduction, copying, scanning or duplication of any kind, translation, preparation of microfilms, electronic data processing, and storage such as making this publication available on Intranet or Internet.

Some of the products, names, instruments, treatments, logos, designs, etc referred to in this publication are also protected by patents, trademarks or by other intellectual property protection laws (eg, “AO” and the AO logo are subject to trademark applications/registrations) even though specific reference to this fact is not always made in the text. Therefore, the appearance of a name, instrument, etc without designation as proprietary is not to be construed as a representation by the publisher that it is in the public domain.

Restrictions on use: The rightful owner of an authorized copy of this work may use it for educational and research purposes only. Single images or illustrations may be copied for research or educational purposes only. The images or illustrations may not be altered in any way and need to carry the following statement of origin “Copyright by AO Foundation, Switzerland”.

Check www.aofoundation.org/disclaimer for more information.

 

If you have any comments or questions on the articles or the new devices, please do not hesitate to contact us


“approved by AO Technical Commission” and “approved by AO Foundation”
The brands and labels “approved by AO Technical Commission” and “approved by AO Foundation”, particularly "AO" and the AO logo, are AO Foundation's intellectual property and subject to trademark applications and registrations, respectively. The use of these brands and labels is regulated by licensing agreements between AO Foundation and the producers of innovation products obliged to use such labels to declare the products as AO Technical Commission or AO Foundation approved solutions. Any unauthorized or inadequate use of these trademarks may be subject to legal action.

AO ITC Innovations Magazine

Find all issues of the AO ITC Innovations Magazine for download here.

Meet the Experts

Directly learn about AO Approved Solutions from the Experts themselves.

Innovation Awards

Recognizing outstanding achievements in development and fostering excellence in surgical innovation.