LCP Distal Ulna Plate 2.0

Fractures of the distal ulna often accompany fractures of the distal radius and occur most commonly through the tip or base of the ulnar styloid process, although some patients have fractures through the ulnar head or neck. An unstable or malaligned fracture of the ulnar head or neck can affect distal radioulnar joint (DRUJ) function and may diminish the stability of the distal forearm, which can increase the risk of nonunion of the distal radius.

The LCP distal ulna plate 2.0 is an anatomically precontoured implant which has been specifically designed for stable fixation of a variety of fracture patterns of the distal ulna and, when required, to treat concurrent fractures of the head/neck region and styloid process.

Indications for this implant are fractures of the distal ulna which result in an unstable radioulnar joint, fractures of the ulna head where the articular surface is either displaced, rotated, or tilted, and comminuted extraarticular fractures of the ulnar neck threatening stable congruency of the distal radioulnar joint.

The plate is designed to fit both small and large ulnae, decreasing the need for prebending. The plate has a low profile of 1.3 mm and is highly polished to minimize soft-tissue irritation. Pointed hooks enable the styloid process fragment to be securely held, irrespective of its size. The 2.0 mm locking screws in the distal part of the plate are intercrossing which enables angular stable fixation of head and neck fragments, and provides a better hold in osteopenic bone.

Dynamic tests have been performed comparing the strength of the LCP distal ulna plate 2.0 with the LCP condylar plate 2.0. When tested over a fracture gap of 14.7 mm, the LCP distal ulna plate 2.0 had a fatigue strength which was 52% greater than the LCP condylar plate 2.0.

The plates are available in stainless steel and CP titanium, and both sterile and nonsterile.

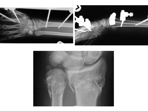
A 48-year-old female had an accident while on vacation. Local temporary treatment was performed with a bridging external fixator and definitive treatment with a plate 2 weeks postinjury.

 

Fig 1ac Preoperative x-rays (AP, lateral, close-up).


Fig 2ab AP and lateral x-rays 4 months after ORIF of a segmental unstable fracture of the distal ulna including basistyloid avulsion and extraarticular fracture of the distal radius.


Fig 3ab Forearm rotation 4 months postoperatively.

 

Case provided by Doug Campbell, West Yorkshire, UK

Hazards and labeling

Due to varying countries’ legal and regulatory approval requirements, consult the appropriate local product labeling for approved intended use of the products described on this website. All devices on this website are approved by the AO Technical Commission. For logistical reasons, these devices may not be available in all countries worldwide at the date of publication. 


Legal restrictions

This work was produced by AO Foundation, Switzerland. All rights reserved by AO Foundation. This publication, including all parts thereof, is legally protected by copyright.

Any use, exploitation or commercialization outside the narrow limits set forth by copyright legislation and the restrictions on use laid out below, without the publisher‘s consent, is illegal and liable to prosecution. This applies in particular to photostat reproduction, copying, scanning or duplication of any kind, translation, preparation of microfilms, electronic data processing, and storage such as making this publication available on Intranet or Internet.

Some of the products, names, instruments, treatments, logos, designs, etc referred to in this publication are also protected by patents, trademarks or by other intellectual property protection laws (eg, “AO” and the AO logo are subject to trademark applications/registrations) even though specific reference to this fact is not always made in the text. Therefore, the appearance of a name, instrument, etc without designation as proprietary is not to be construed as a representation by the publisher that it is in the public domain.

Restrictions on use: The rightful owner of an authorized copy of this work may use it for educational and research purposes only. Single images or illustrations may be copied for research or educational purposes only. The images or illustrations may not be altered in any way and need to carry the following statement of origin “Copyright by AO Foundation, Switzerland”.

Check www.aofoundation.org/disclaimer for more information.

 

If you have any comments or questions on the articles or the new devices, please do not hesitate to contact us


“approved by AO Technical Commission” and “approved by AO Foundation”
The brands and labels “approved by AO Technical Commission” and “approved by AO Foundation”, particularly "AO" and the AO logo, are AO Foundation's intellectual property and subject to trademark applications and registrations, respectively. The use of these brands and labels is regulated by licensing agreements between AO Foundation and the producers of innovation products obliged to use such labels to declare the products as AO Technical Commission or AO Foundation approved solutions. Any unauthorized or inadequate use of these trademarks may be subject to legal action.

AO ITC Innovations Magazine

Find all issues of the AO ITC Innovations Magazine for download here.

Meet the Experts

Directly learn about AO Approved Solutions from the Experts themselves.

Innovation Awards

Recognizing outstanding achievements in development and fostering excellence in surgical innovation.