3.5 mm LCP Percutaneous Aiming System for PHILOS
Norbert Südkamp, Stefaan Nijs, Ralph Hertel
PHILOS is usually implanted through the deltopectoral approach which implicates a long incision and extensive soft-tissue retraction to reach the anatomy of interest. The less-invasive transdeltoid approach is more soft-tissue friendly and gives a better view of the greater tubercle.
The 3.5 mm LCP percutaneous aiming system for PHILOS offers the possibility to insert the PHILOS plate through the transdeltoid approach and to insert the shaft screws percutaneously enabling a less-invasive application of PHILOS.
The system consists of a sleeve system and an aiming arm. It is used analogously to the existing PHILOS aiming instruments and other aiming systems. The aiming arm is radiolucent to allow control under image intensifier. Locking as well as cortex screws can be used through the device. Compression achieved by cortex screws in the shaft may lead to plate tension. The device has to be locked to the plate at both ends to ensure the plate-device alignment.
A safe zone is defined to protect the axillary nerve (screw holes near the axillary nerve are not accessible through the device). Therefore, the elongated plate hole is not accessible through the aiming arm due to the protected nerve zone. However, by abduction of the arm after fixation, these screw holes become accessible.
Overall, the 3.5 mm LCP percutaneous aiming system facilitates plate insertion as well as positioning and adjustment.
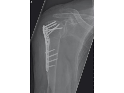
A 76-year-old woman suffered a low-energy fall at home.
Case provided by Stefaan Nijs, Leuven, Belgium
Hazards and labeling
Due to varying countries’ legal and regulatory approval requirements, consult the appropriate local product labeling for approved intended use of the products described on this website. All devices on this website are approved by the AO Technical Commission. For logistical reasons, these devices may not be available in all countries worldwide at the date of publication.
Legal restrictions
This work was produced by AO Foundation, Switzerland. All rights reserved by AO Foundation. This publication, including all parts thereof, is legally protected by copyright.
Any use, exploitation or commercialization outside the narrow limits set forth by copyright legislation and the restrictions on use laid out below, without the publisher‘s consent, is illegal and liable to prosecution. This applies in particular to photostat reproduction, copying, scanning or duplication of any kind, translation, preparation of microfilms, electronic data processing, and storage such as making this publication available on Intranet or Internet.
Some of the products, names, instruments, treatments, logos, designs, etc referred to in this publication are also protected by patents, trademarks or by other intellectual property protection laws (eg, “AO” and the AO logo are subject to trademark applications/registrations) even though specific reference to this fact is not always made in the text. Therefore, the appearance of a name, instrument, etc without designation as proprietary is not to be construed as a representation by the publisher that it is in the public domain.
Restrictions on use: The rightful owner of an authorized copy of this work may use it for educational and research purposes only. Single images or illustrations may be copied for research or educational purposes only. The images or illustrations may not be altered in any way and need to carry the following statement of origin “Copyright by AO Foundation, Switzerland”.
Check www.aofoundation.org/disclaimer for more information.
If you have any comments or questions on the articles or the new devices, please do not hesitate to contact us.
“approved by AO Technical Commission” and “approved by AO Foundation”
The brands and labels “approved by AO Technical Commission” and “approved by AO Foundation”, particularly "AO" and the AO logo, are AO Foundation's intellectual property and subject to trademark applications and registrations, respectively. The use of these brands and labels is regulated by licensing agreements between AO Foundation and the producers of innovation products obliged to use such labels to declare the products as AO Technical Commission or AO Foundation approved solutions. Any unauthorized or inadequate use of these trademarks may be subject to legal action.
AO ITC Innovations Magazine
Find all issues of the AO ITC Innovations Magazine for download here.
Innovation Awards
Recognizing outstanding achievements in development and fostering excellence in surgical innovation.







