3.5 mm LCP Proximal Tibia Low Bend
Matthew Graves, Sean Nork
The 3.5 mm LCP proximal tibia plates are indicated for fractures of the proximal tibia, including comminuted, depression, bicondylar combination of lateral wedge and depression, periprosthetic, and fractures associated with shaft fractures.
In addition to the existing plate, a version with a lower proximal bend has been developed to provide more options to match the different anatomies of the proximal tibia. The low bend version is contoured to fit closer to the bone under the lateral condyle and slightly lower to the tibial plateau compared to the current plate. This low bend is the result of human specimen and CT scan studies. The proximal head/neck contour is similar to the 3.5 mm LC-DCP proximal tibia plate. But even with this alternative version, bending will be required in certain cases due to the highly variable anatomy of the proximal tibia with various shapes and inclinations.
Another change in the low bend plate is an elongated combination hole in the plate shaft (instead of a regular combination hole) designed to aid in plate placement.
As for the existing plate with the standard bend, the plate head is contoured to match the lateral proximal tibia. The plate head profiles of both plate versions have been made thinner at the anterior edges. Suture undercuts to the proximal K-wire holes have been added. Both plates are available in lengths of 4-16 holes.
Case provided by Matthew Graves, Jackson, Mississippi, USA
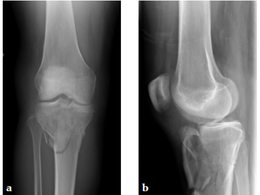
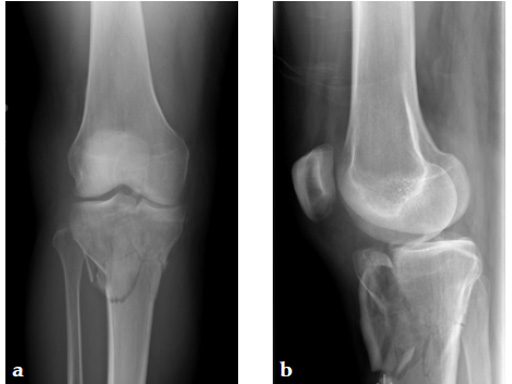
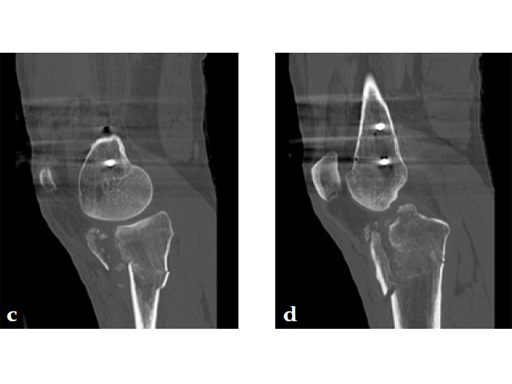
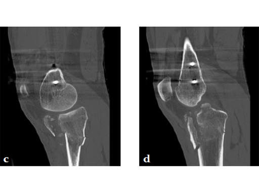
A 36-year-old man sustained a motorcycle injury: right femoral shaft fracture and right hyperextension bicondylar tibial plateau variant (Fig 1, Fig 2).
Staged management with initial rodding of femur and placement of spanning knee external fixator with closed manipulative reduction of tibial plateau (Fig 3).
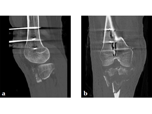
The patient returned to the operating room once soft tissue allowed for open reduction and internal fixation of the tibial plateau fracture via a lateral utility and anteromedial approach. Placement of low bend 3.5 mm proximal tibia plate laterally and 3.5 mm locking T-plate anteromedially to buttress the impacted anterior rim (Fig 4, Fig 5).
Hazards and labeling
Due to varying countries’ legal and regulatory approval requirements, consult the appropriate local product labeling for approved intended use of the products described on this website. All devices on this website are approved by the AO Technical Commission. For logistical reasons, these devices may not be available in all countries worldwide at the date of publication.
Legal restrictions
This work was produced by AO Foundation, Switzerland. All rights reserved by AO Foundation. This publication, including all parts thereof, is legally protected by copyright.
Any use, exploitation or commercialization outside the narrow limits set forth by copyright legislation and the restrictions on use laid out below, without the publisher‘s consent, is illegal and liable to prosecution. This applies in particular to photostat reproduction, copying, scanning or duplication of any kind, translation, preparation of microfilms, electronic data processing, and storage such as making this publication available on Intranet or Internet.
Some of the products, names, instruments, treatments, logos, designs, etc referred to in this publication are also protected by patents, trademarks or by other intellectual property protection laws (eg, “AO” and the AO logo are subject to trademark applications/registrations) even though specific reference to this fact is not always made in the text. Therefore, the appearance of a name, instrument, etc without designation as proprietary is not to be construed as a representation by the publisher that it is in the public domain.
Restrictions on use: The rightful owner of an authorized copy of this work may use it for educational and research purposes only. Single images or illustrations may be copied for research or educational purposes only. The images or illustrations may not be altered in any way and need to carry the following statement of origin “Copyright by AO Foundation, Switzerland”.
Check www.aofoundation.org/disclaimer for more information.
If you have any comments or questions on the articles or the new devices, please do not hesitate to contact us.
“approved by AO Technical Commission” and “approved by AO Foundation”
The brands and labels “approved by AO Technical Commission” and “approved by AO Foundation”, particularly "AO" and the AO logo, are AO Foundation's intellectual property and subject to trademark applications and registrations, respectively. The use of these brands and labels is regulated by licensing agreements between AO Foundation and the producers of innovation products obliged to use such labels to declare the products as AO Technical Commission or AO Foundation approved solutions. Any unauthorized or inadequate use of these trademarks may be subject to legal action.
AO ITC Innovations Magazine
Find all issues of the AO ITC Innovations Magazine for download here.
Innovation Awards
Recognizing outstanding achievements in development and fostering excellence in surgical innovation.






