3.5 mm LCP Superior Clavicle

Norbert Südkamp, Stefaan Nijs, Ralp Hertel

The 3.5 mm LCP clavicle plate system is indicated for fixation of fractures, malunions, nonunions, and osteotomies of the clavicle. It is part of the 3.5 mm LCP clavicle set which consists of the already available 3.5 mm LCP superior anterior clavicle plate and the future 3.5 mm LCP anterior clavicle plate.

The existing 3.5 mm LCP superior anterior clavicle was designed to fit on the superior end laterally and twist midshaft to fit anteriorly on the medial aspect. The new 3.5 mm LCP superior clavicle plate design has removed the twist in the plate. A lateral bow was put in the plate to enhance plate fit. The flat superior design allows more flexibility in placement. A K-wire hole was added to the distal end of the plate as a plate holder. Notches in the plate facilitate easier contouring that may be required in some cases. Diverging and cross-hatching screw pattern in the lateral end increase fixation strength.

 

Fig 1 3.5 mm LCP superior clavicle.


The 3.5 mm LCP superior clavicle comes in left and right versions and are available in lengths of 6-, 7-, and 8-hole plates with or without lateral extension. The plates use 3.5 mm locking screws in the shaft and feature 2.7 mm locking screws in the lateral extension, also allowing for an increased number of screw positions laterally.

Fig 2 3.5 mm LCP superior anterior clavicle.


To ensure an anatomical fit, 49 bones from the University of Tennessee collection (a modern collection of bones, with the earliest specimen from 1981) were scanned spanning all age groups and sexes. The majority were younger, male specimens, mimicking expected patient population. Surgery is straightforward as in most cases no or only minor additional contouring of the plate is required thus minimizing surgery time.

Fig 3 3.5 mm LCP superior clavicle.

Fig 4 3.5 mm LCP superior anterior clavicle.

 

 

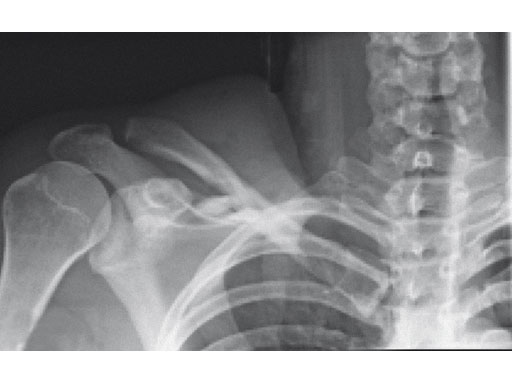
A 22-year-old man sustained an open clavicle fracture after a motorcycle injury.

Fig 1ab Preoperative x-rays.


Fig 2ab Postoperative images.


Fig 3ab X-rays taken 3 months postoperatively.

Case provided by Harry A Hoyen III, Cleveland, USA

Hazards and labeling

Due to varying countries’ legal and regulatory approval requirements, consult the appropriate local product labeling for approved intended use of the products described on this website. All devices on this website are approved by the AO Technical Commission. For logistical reasons, these devices may not be available in all countries worldwide at the date of publication. 


Legal restrictions

This work was produced by AO Foundation, Switzerland. All rights reserved by AO Foundation. This publication, including all parts thereof, is legally protected by copyright.

Any use, exploitation or commercialization outside the narrow limits set forth by copyright legislation and the restrictions on use laid out below, without the publisher‘s consent, is illegal and liable to prosecution. This applies in particular to photostat reproduction, copying, scanning or duplication of any kind, translation, preparation of microfilms, electronic data processing, and storage such as making this publication available on Intranet or Internet.

Some of the products, names, instruments, treatments, logos, designs, etc referred to in this publication are also protected by patents, trademarks or by other intellectual property protection laws (eg, “AO” and the AO logo are subject to trademark applications/registrations) even though specific reference to this fact is not always made in the text. Therefore, the appearance of a name, instrument, etc without designation as proprietary is not to be construed as a representation by the publisher that it is in the public domain.

Restrictions on use: The rightful owner of an authorized copy of this work may use it for educational and research purposes only. Single images or illustrations may be copied for research or educational purposes only. The images or illustrations may not be altered in any way and need to carry the following statement of origin “Copyright by AO Foundation, Switzerland”.

Check www.aofoundation.org/disclaimer for more information.

 

If you have any comments or questions on the articles or the new devices, please do not hesitate to contact us


“approved by AO Technical Commission” and “approved by AO Foundation”
The brands and labels “approved by AO Technical Commission” and “approved by AO Foundation”, particularly "AO" and the AO logo, are AO Foundation's intellectual property and subject to trademark applications and registrations, respectively. The use of these brands and labels is regulated by licensing agreements between AO Foundation and the producers of innovation products obliged to use such labels to declare the products as AO Technical Commission or AO Foundation approved solutions. Any unauthorized or inadequate use of these trademarks may be subject to legal action.

AO ITC Innovations Magazine

Find all issues of the AO ITC Innovations Magazine for download here.

Meet the Experts

Directly learn about AO Approved Solutions from the Experts themselves.

Innovation Awards

Recognizing outstanding achievements in development and fostering excellence in surgical innovation.