4.5 mm LCP Narrow and Broad with Stacked Combination Holes
Jeffrey Watkins, Michael Kowaleski
The 4.5 mm LCP narrow and broad with stacked combination holes is indicated for long bone fractures, and joint arthrodesis for horses, as well as metaphyseal fractures.
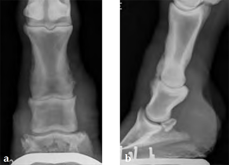
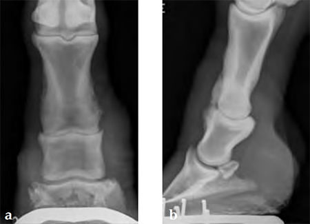
Osteoarthritis of the interphalangeal (PIP) joint is a common cause of lameness in horses; therefore, PIP joint arthrodesis is performed with the goal of eliminating motion of this joint. To achieve arthrodesis for treatment of degenerative joint disease of the PIP joint this plate has an extended centre section that spans the joint space. The stacked combination hole is necessary to prevent impingement on the extensor process of the distal phalanx. This is a common procedure in western performance horsethey seem to be prone to developing degenerative joint disease of this joint as a result of the type of activities in which they are engaged. The lameness prevents them from engaging in their intended use, and is often debilitating. With arthrodesis, a high percentage (up to 75% in the forelimb and 90% in the hindlimb) are able to return to their intended erformance activity.
Compared to the standard locked plate design the toenail design at one end of the plate was eliminated and the most distal hole changed from a combination hole to a stacked combination hole. These changes allow the plate to be placed as close to the joint as possible. The two proximal combination holes face the same way (to achieve compression across the joint) and the gap between the stacked combination hole and the first combination hole was lengthened so that it matches the 4.5 mm narrow DCP (to span the joint).
The 4.5 mm narrow LCP comes in length of 3-16 holes and the 4.5 mm broad LCP in 6-18 holes. The implants are made of 316L stainless steel and fit in the large fragment plate set graphic case.
Horse with degenerative joint disease of the proximal interphalangeal joint (narrowed joint space and periosteal new bone formation).
(Case provided by Jeffrey Watkins, Tamu, USA)
Compression across the joint was achieved by placing the abaxial transarticular 5.5 mm cortical screws in lag fashion, then using the cortex screw in the load position of the proximal combination hole. The screws on either side of the joint are 5.0 mm locking screwsthe most distal screw is placed first, then the cortex screw is used to provide dynamic compression and the final locking screw is placed.
Reference
Knox PM, Watkins JP (2006) Proximal interphalangeal joint arthrodesis using a combination plate-screw technique in 53 horses (19942003). Equine Vet J; 38:538542.
Hazards and labeling
Due to varying countries’ legal and regulatory approval requirements, consult the appropriate local product labeling for approved intended use of the products described on this website. All devices on this website are approved by the AO Technical Commission. For logistical reasons, these devices may not be available in all countries worldwide at the date of publication.
Legal restrictions
This work was produced by AO Foundation, Switzerland. All rights reserved by AO Foundation. This publication, including all parts thereof, is legally protected by copyright.
Any use, exploitation or commercialization outside the narrow limits set forth by copyright legislation and the restrictions on use laid out below, without the publisher‘s consent, is illegal and liable to prosecution. This applies in particular to photostat reproduction, copying, scanning or duplication of any kind, translation, preparation of microfilms, electronic data processing, and storage such as making this publication available on Intranet or Internet.
Some of the products, names, instruments, treatments, logos, designs, etc referred to in this publication are also protected by patents, trademarks or by other intellectual property protection laws (eg, “AO” and the AO logo are subject to trademark applications/registrations) even though specific reference to this fact is not always made in the text. Therefore, the appearance of a name, instrument, etc without designation as proprietary is not to be construed as a representation by the publisher that it is in the public domain.
Restrictions on use: The rightful owner of an authorized copy of this work may use it for educational and research purposes only. Single images or illustrations may be copied for research or educational purposes only. The images or illustrations may not be altered in any way and need to carry the following statement of origin “Copyright by AO Foundation, Switzerland”.
Check www.aofoundation.org/disclaimer for more information.
If you have any comments or questions on the articles or the new devices, please do not hesitate to contact us.
“approved by AO Technical Commission” and “approved by AO Foundation”
The brands and labels “approved by AO Technical Commission” and “approved by AO Foundation”, particularly "AO" and the AO logo, are AO Foundation's intellectual property and subject to trademark applications and registrations, respectively. The use of these brands and labels is regulated by licensing agreements between AO Foundation and the producers of innovation products obliged to use such labels to declare the products as AO Technical Commission or AO Foundation approved solutions. Any unauthorized or inadequate use of these trademarks may be subject to legal action.
AO ITC Innovations Magazine
Find all issues of the AO ITC Innovations Magazine for download here.
Innovation Awards
Recognizing outstanding achievements in development and fostering excellence in surgical innovation.



