Universal Reduction Screws (URS) in the Treatment of Deformities
The indication for surgery of an idiopathic scoliosis according to Cobb should be a thoracic spine of more than 50 and lumbar spine of more than 45. In these cases surgery is necessary, leading to the correction and stabilization of the spine by implant systems. Surgical management of scoliosis is generally intended to prevent further progression of the deformity [1].
Nowadays in modern instrumentation systems, more anchors are used to connect the rod and the spine. This allows individual segmental rotation, resulting in better correction and less frequent implant failures [2]. Segmental pedicle screw constructs are considered the gold standard for deformity correction today [3].
Universal reduction screws (URS) are polyaxial pedicle screws with extended tabs, enabling rod reduction without the use of reduction instruments. The tabs can be broken off after rod reduction. The screw heads allow for a polyaxial adjustment of 90 around 360. The locking cap of the URS is designed as a two-step locking cap. The outer part of the locking cap captures the rod and locks the polyaxiality of the screw, while the inner part of the locking cap locks the rod in place. The individual fixation of the polyaxiality and the rod allows for segmental derotation as well as parallel compression and distraction.
Rod reduction and curve correction will be performed by reducing the locking cap within the extended tabs. As soon as the rod is fully reduced by the locking cap, the rod can be derotated to correct the deformity according to the Cotrel-Dubousset technique [4, 5]. To fine-tune the deformity reduction and to reduce the prominence of the rib hump, individual vertebral bodies can be segmentally rotated with the help of derotation tubes. After final tightening of the screws, the extended tabs are broken off the screw at their indented break-off line.
References
1 Hopf C (2000) [Criteria for treatment of idiopathic scoliosis between 40 degrees and 50 degrees. Surgical vs. conservative therapy]. Orthopde; 29(6):500506. German.
2 Shah SA (2007) Derotation of the spine. Neurosurg Clin N Am; 18(2), 339345.
3 Lehman RA Jr, Lenke LG, Keeler KA, et al (2008) Operative treatment of adolescent idiopathic scoliosis with posterior pedicle screw-only constructs: minimum three year follow-up of one hundred fourteen cases. Spine; 33(14):15981604.
4 Cotrel Y, Dubousset J, Guillaumat M (1988) New universal instrumentation in spinal surgery. Clin Orthop Relat Res; 227:1023.
5 Dubousset J, Cotrel Y (1991) Application technique of Cotrel-Dubousset instrumentation for scoliosis deformities. Clin Orthop Relat Res; 264:103110.
Case provided by Cornelius Wimmer, Vogtareuth, Germany
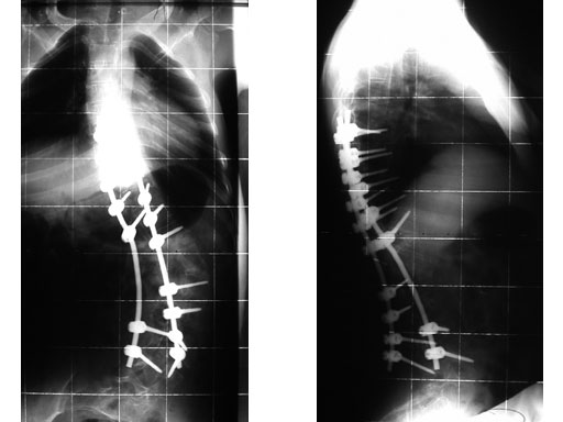
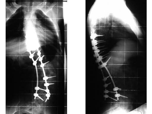
A 23-year-old man with neurogenic kyphoscoliosis, Cobb angle: 120. Fusion of T7S1 with universal reduction screws. Duration of surgery: 4.5 hours.
Hazards and labeling
Due to varying countries’ legal and regulatory approval requirements, consult the appropriate local product labeling for approved intended use of the products described on this website. All devices on this website are approved by the AO Technical Commission. For logistical reasons, these devices may not be available in all countries worldwide at the date of publication.
Legal restrictions
This work was produced by AO Foundation, Switzerland. All rights reserved by AO Foundation. This publication, including all parts thereof, is legally protected by copyright.
Any use, exploitation or commercialization outside the narrow limits set forth by copyright legislation and the restrictions on use laid out below, without the publisher‘s consent, is illegal and liable to prosecution. This applies in particular to photostat reproduction, copying, scanning or duplication of any kind, translation, preparation of microfilms, electronic data processing, and storage such as making this publication available on Intranet or Internet.
Some of the products, names, instruments, treatments, logos, designs, etc referred to in this publication are also protected by patents, trademarks or by other intellectual property protection laws (eg, “AO” and the AO logo are subject to trademark applications/registrations) even though specific reference to this fact is not always made in the text. Therefore, the appearance of a name, instrument, etc without designation as proprietary is not to be construed as a representation by the publisher that it is in the public domain.
Restrictions on use: The rightful owner of an authorized copy of this work may use it for educational and research purposes only. Single images or illustrations may be copied for research or educational purposes only. The images or illustrations may not be altered in any way and need to carry the following statement of origin “Copyright by AO Foundation, Switzerland”.
Check www.aofoundation.org/disclaimer for more information.
If you have any comments or questions on the articles or the new devices, please do not hesitate to contact us.
“approved by AO Technical Commission” and “approved by AO Foundation”
The brands and labels “approved by AO Technical Commission” and “approved by AO Foundation”, particularly "AO" and the AO logo, are AO Foundation's intellectual property and subject to trademark applications and registrations, respectively. The use of these brands and labels is regulated by licensing agreements between AO Foundation and the producers of innovation products obliged to use such labels to declare the products as AO Technical Commission or AO Foundation approved solutions. Any unauthorized or inadequate use of these trademarks may be subject to legal action.
AO ITC Innovations Magazine
Find all issues of the AO ITC Innovations Magazine for download here.
Innovation Awards
Recognizing outstanding achievements in development and fostering excellence in surgical innovation.




