New Mini Tibia Leveling Osteotomy (TPLO) Jig
Cranial cruciate ligament tears are a common cause of lameness in dogs. The slope of the tibial plateau in canines is much greater than in humans meaning that over time, any repetitive force or loading can lead to chronic, progressive damage and rupture of the cranial cruciate ligament. The TPLO procedure dynamically stabilizes the knee by eliminating cranial tibial subluxation during the weight bearing phase of locomotion. The TPLO plates are available with six different profiles (3.5 mm, 3.5 mm small stature, 3.5 mm broad, 2.7 mm, 2.4 mm, and 2.0 mm) meaning the procedure can be preformed across all sizes of dogs and cats. The appropriate placement of the plates is facilitated by the use of a jig.
Until recently, the TPLO Jig was only available for the 3.5 mm, 3.5 mm small stature, and 3.5 mm broad TPLO Plates. The TPLO system has now been expanded with the new Mini TPLO Jig (Fig 1) which is designed to be used with the 2.0 mm, 2.4 mm, and 2.7 mm TPLO Plates.
The new Mini TPLO Jig
The Mini TPLO Jig is designed specifically for the 2.0 mm, 2.4 mm, and 2.7 mm size TPLO cases and helps to maintain stability and limb alignment after the proximal tibial osteotomy. The jig can be used with any tibia leveling osteotomy plate, but was designed to be used with the new Synthes Mini TPLO Plates. The jig can be positioned with great versatility to best suit a broad range of patient anatomy and can also be used to provide similar functions when performing corrective osteotomy for treatment of angular limb deformity.
The Mini TPLO Jig features a 45 degree jig pin screw orientation for more access to plate head holes. Further, it attaches to the bone with K-wires of 1.6 mm to 2.5 mm diameter to accommodate the great variety of patient size. The jig arms can be angled as needed to position the jig pins optimally in the proximal and distal aspect of the tibia. During sawing, the surgeon will appreciate the vibration resistant hinge screw (Fig 2). In the past, a loss of hinge screws during the osteotomy procedure has led to dissatisfaction.
The jig is designed to allow ample room for the saw blade during a proximal tibial osteotomy. The jig arms can be positioned as needed to accommodate the individual patient. The jig is designed to accommodate jig pin diameters from 1.6 mm to 2.5 mm. Additionally, the jig can be easily disassembled for removal and cleaning.
The new Mini TPLO Jig completes the TPLO implant and instrument range. Surgeons can now be prepared for all sizes and breeds of cat and dog.
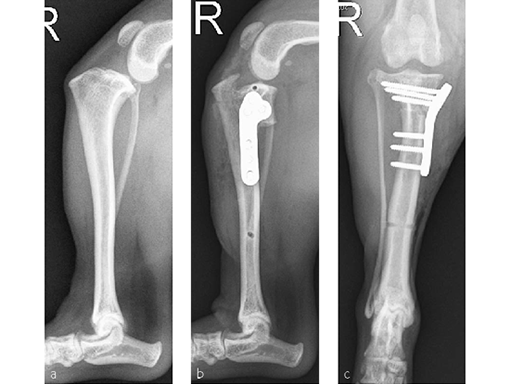
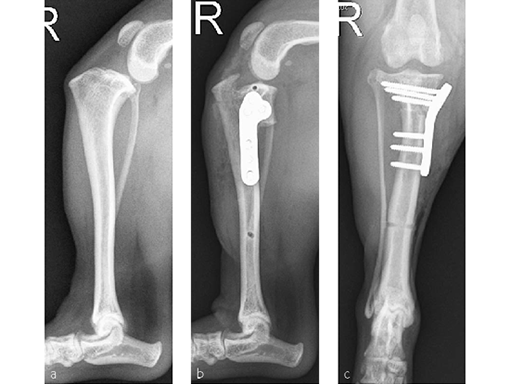
Case: Active dog becomes lame after running
(Case provided by Brian Beale, Houston, USA)
A Bichon Frise became acutely non weightbearing lame following running, with a tear of the cranial cruciate ligament.
The preoperative tibial plateau angle was 36. The jig pin diameter was 1.6 mm. A 10 mm TPLO saw blade was used to make the osteotomy while the jig was in place. A 2.0 mm Synthes TPLO Plate was applied with three 2.0 mm locking screws proximally and three 2.0 mm cortical screws distally.
Locking screws were the best option in the proximal tibial segment due to the small gap between the contoured plate and the bone. The postoperative TPA was 5.
Hazards and labeling
Due to varying countries’ legal and regulatory approval requirements, consult the appropriate local product labeling for approved intended use of the products described on this website. All devices on this website are approved by the AO Technical Commission. For logistical reasons, these devices may not be available in all countries worldwide at the date of publication.
Legal restrictions
This work was produced by AO Foundation, Switzerland. All rights reserved by AO Foundation. This publication, including all parts thereof, is legally protected by copyright.
Any use, exploitation or commercialization outside the narrow limits set forth by copyright legislation and the restrictions on use laid out below, without the publisher‘s consent, is illegal and liable to prosecution. This applies in particular to photostat reproduction, copying, scanning or duplication of any kind, translation, preparation of microfilms, electronic data processing, and storage such as making this publication available on Intranet or Internet.
Some of the products, names, instruments, treatments, logos, designs, etc referred to in this publication are also protected by patents, trademarks or by other intellectual property protection laws (eg, “AO” and the AO logo are subject to trademark applications/registrations) even though specific reference to this fact is not always made in the text. Therefore, the appearance of a name, instrument, etc without designation as proprietary is not to be construed as a representation by the publisher that it is in the public domain.
Restrictions on use: The rightful owner of an authorized copy of this work may use it for educational and research purposes only. Single images or illustrations may be copied for research or educational purposes only. The images or illustrations may not be altered in any way and need to carry the following statement of origin “Copyright by AO Foundation, Switzerland”.
Check www.aofoundation.org/disclaimer for more information.
If you have any comments or questions on the articles or the new devices, please do not hesitate to contact us.
“approved by AO Technical Commission” and “approved by AO Foundation”
The brands and labels “approved by AO Technical Commission” and “approved by AO Foundation”, particularly "AO" and the AO logo, are AO Foundation's intellectual property and subject to trademark applications and registrations, respectively. The use of these brands and labels is regulated by licensing agreements between AO Foundation and the producers of innovation products obliged to use such labels to declare the products as AO Technical Commission or AO Foundation approved solutions. Any unauthorized or inadequate use of these trademarks may be subject to legal action.
AO ITC Innovations Magazine
Find all issues of the AO ITC Innovations Magazine for download here.
Innovation Awards
Recognizing outstanding achievements in development and fostering excellence in surgical innovation.


