VA-LCP Midfoot/Hindfoot System
Andrew Sands, Michael Castro, Juan Gerstner, Leslie Grujic, Stefan Rammelt, Michael Swords, Ian Winson
The Variable Angle Locking Midfoot/Hindfoot System offers two plates for the fixation of calcaneus fractures and a new plate for medial column fusion.
The Compression/Distraction Device is a very versatile instrument that can be used across numerous applications to reduce fractures or optimally align bones in preparation for fusion.
Variable Angle Locking Calcaneal Plate
The Variable Angle Locking Calcaneal Plate is indicated for traditional plate fixation of calcaneus fractures. The benefits of such locking technology include an ability to insert a screw at the best angle for the most optimal purchase in smaller bone fragments and a minimized risk of joint penetration in cases where fracture patterns demand screw placement in close proximity to an articular surface.
Variable Angle Locking Anterolateral Calcaneal Plate
The Variable Angle Locking Anterolateral Calcaneal Plate is indicated for minimally invasive posterior calcaneus fracture fixation in combination with 3.5 mm or 4.0 mm cortex screws. The Anterolateral Calcaneal Plate is used to support the articular surface of the subtalar joint. The additional screws are used to fix the fragments of the calcaneus required by the specific fracture pattern. The number and size of screws used to fix the fracture is dependent upon the fracture pattern, bone quality, and the weight of the patient. A minimum of three screws should be used in divergent positions to provide sufficient stability.
Medial column fusion
The new Variable Angle LCP Medial Column Fusion Plate system is indicated for advanced stabilization and fusion in Charcot foot and severe arthritis. The system comprises plates for application on the dorsomedial, medial, and plantar aspects of the foot as well as medial placement with talus extension. Using the compression/distraction instrument enables independent compression of selected joints.
Compression/Distraction Device
The Compression/Distraction Device is a very versatile instrument that can be used across numerous applications to reduce fractures or optimally align bones in preparation for fusion. Multiple devices can be used in combination for multifragmentary fractures or for the control and alignment of several affiliated bones. This set is not limited to use in the foot and ankle and is regularly used as an intraoperative holding device for fractures and osteotomies to obtain optimal alignment prior to fixation.
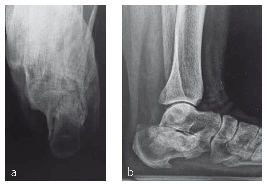
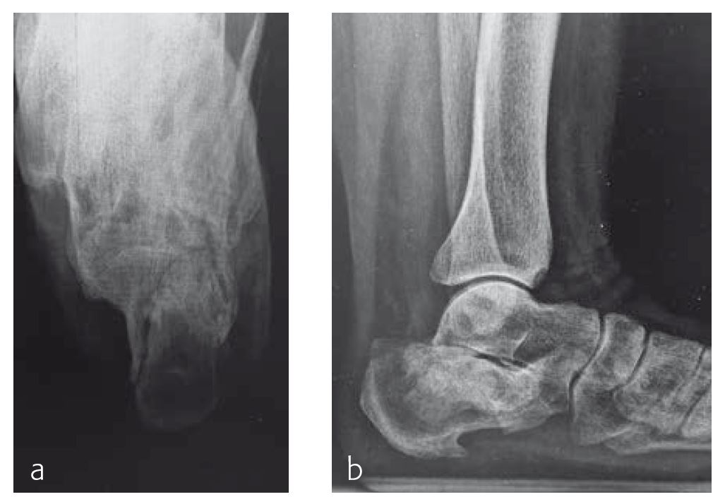
Case 1: Ladder fall
A 58-year-old woman (Fig 1), who had fallen from a ladder 9 weeks earlier, had indications of a malunited fracture and was referred to the clinic by a family physician.
The malunion had to be treated with an osteotomy to reconstruct the joint and regain normal function. The osteotomy was fixed with the VA Locking Calcaneal Plate (Figs 2 and 3).
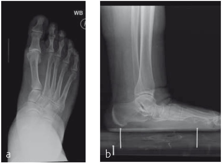
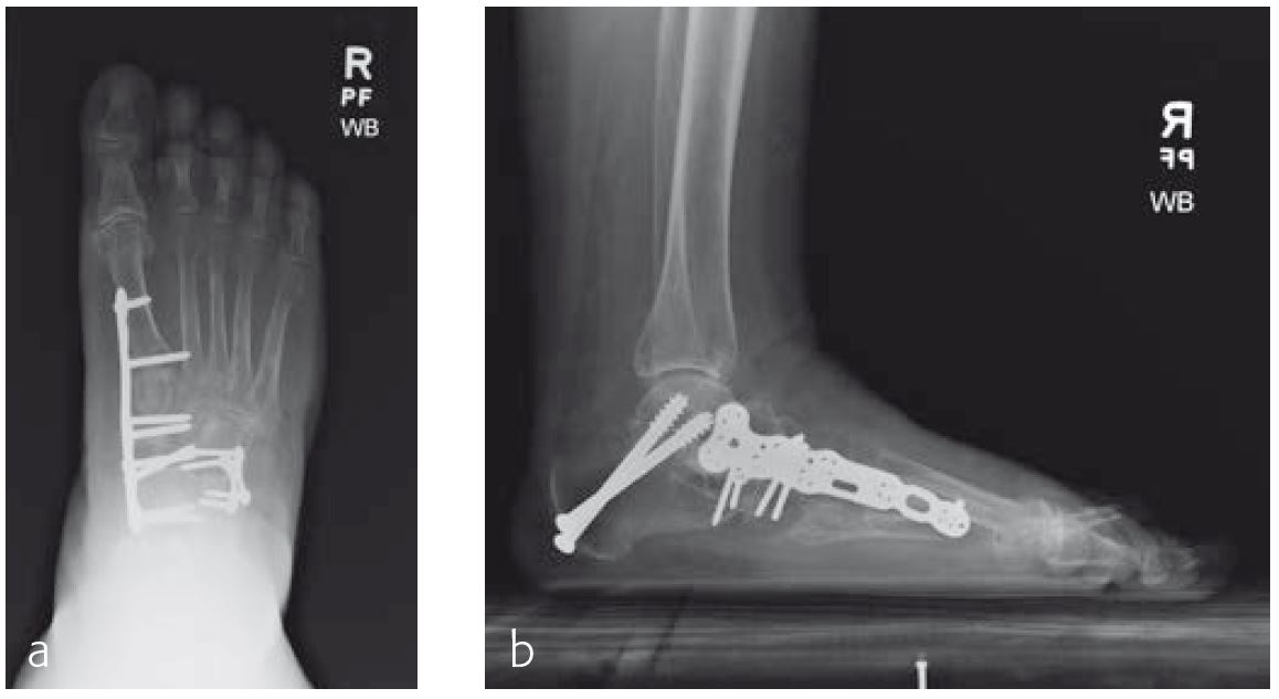
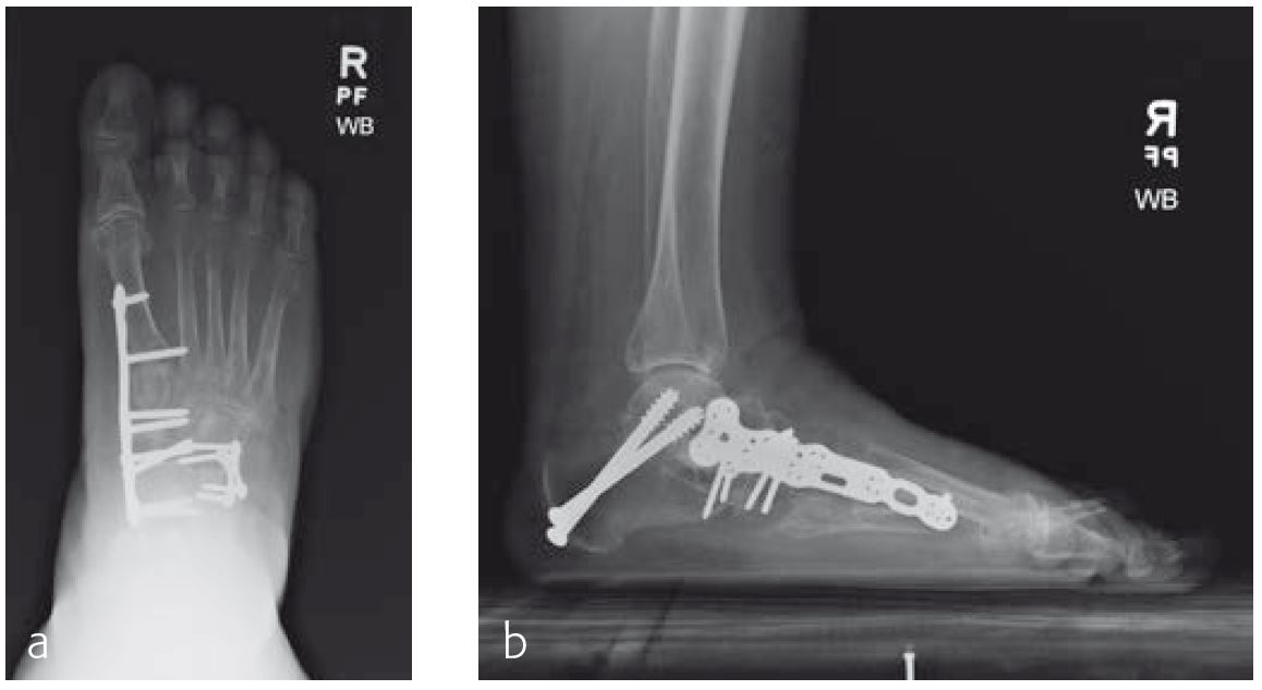
Case 2: 70-year-old patient
A 70-year-old female patient (Fig 1) had a long history of increasing painful deformity of her foot. She also noted increasing gait problems. There was no history of initial trauma. The examination showed severe rigid flatfoot deformity.
An extended triple arthrodesis was performed. Medially, the new Medial Column Plate was used, securing the talonavicular, naviculocuneiform, and tarsometatarsal joints (Fig 2). The X-plate is lateral and secured the calcaneo-cuboid joint. Two 7.3 mm screws were used to secure the subtalar joint.
Case 3: Compression/Distraction Device
The picture shows the use of the Compression/Distraction Device in the midfoot
Concepts and Techniques in Midfoot Fusion
New Treatment Concepts in Midfoot and Hindfoot
Hazards and labeling
Due to varying countries’ legal and regulatory approval requirements, consult the appropriate local product labeling for approved intended use of the products described on this website. All devices on this website are approved by the AO Technical Commission. For logistical reasons, these devices may not be available in all countries worldwide at the date of publication.
Legal restrictions
This work was produced by AO Foundation, Switzerland. All rights reserved by AO Foundation. This publication, including all parts thereof, is legally protected by copyright.
Any use, exploitation or commercialization outside the narrow limits set forth by copyright legislation and the restrictions on use laid out below, without the publisher‘s consent, is illegal and liable to prosecution. This applies in particular to photostat reproduction, copying, scanning or duplication of any kind, translation, preparation of microfilms, electronic data processing, and storage such as making this publication available on Intranet or Internet.
Some of the products, names, instruments, treatments, logos, designs, etc referred to in this publication are also protected by patents, trademarks or by other intellectual property protection laws (eg, “AO” and the AO logo are subject to trademark applications/registrations) even though specific reference to this fact is not always made in the text. Therefore, the appearance of a name, instrument, etc without designation as proprietary is not to be construed as a representation by the publisher that it is in the public domain.
Restrictions on use: The rightful owner of an authorized copy of this work may use it for educational and research purposes only. Single images or illustrations may be copied for research or educational purposes only. The images or illustrations may not be altered in any way and need to carry the following statement of origin “Copyright by AO Foundation, Switzerland”.
Check www.aofoundation.org/disclaimer for more information.
If you have any comments or questions on the articles or the new devices, please do not hesitate to contact us.
“approved by AO Technical Commission” and “approved by AO Foundation”
The brands and labels “approved by AO Technical Commission” and “approved by AO Foundation”, particularly "AO" and the AO logo, are AO Foundation's intellectual property and subject to trademark applications and registrations, respectively. The use of these brands and labels is regulated by licensing agreements between AO Foundation and the producers of innovation products obliged to use such labels to declare the products as AO Technical Commission or AO Foundation approved solutions. Any unauthorized or inadequate use of these trademarks may be subject to legal action.
AO ITC Innovations Magazine
Find all issues of the AO ITC Innovations Magazine for download here.
Innovation Awards
Recognizing outstanding achievements in development and fostering excellence in surgical innovation.









