3.5 mm LC-DCP and LCP
The 3.5 mm LC-DCP regular and broad as well as the 3.5 mm LCP are indicated for the treatment of long bone and metaphyseal fractures.
The 3.5 mm LCP has the standard locked plate design with two changes to allow the plate to be placed as close to the joint as possible: The toenail design was eliminated at one end of the plate and the most distal hole changed from a combination hole to a stacked combination hole. The 3.5 mm LCP will be available in lengths of 222 holes.
The 3.5 mm LC-DCP and 3.5 mm broad LC-DCP have a toenail on one end, and a rounded end at the other end. The most distal hole was changed from a DCU hole to a rounded hole. The 3.5 mm LC-DCP comes in lengths of 220 holes and the 3.5 mm broad LC-DCP in 722 holes. All plates are made of 316L stainless steel and fit in the small fragment plate set graphic case.
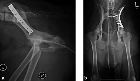
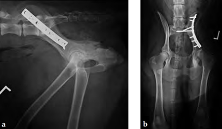
A 4-year-old Gordon setter suffered a road traffic accident and sustained multiple pelvic fractures.
(Case provided by Michael Kowaleski, North Grafton, USA)
A 7-hole 3.5 mm LC-DCP was applied and two screws were inserted into the sacral body to improve fixation strength in the cranial ilial segment. This bone is quite thin thus note that the screws #1 and #2 are quite short, screws #3 and #4 are the sacral screws and are much longer; the fracture is between screws #4 and #5 (see figure 4a-b)). The opacity on midline in the x-rays is a urinary catheter.
Hazards and labeling
Due to varying countries’ legal and regulatory approval requirements, consult the appropriate local product labeling for approved intended use of the products described on this website. All devices on this website are approved by the AO Technical Commission. For logistical reasons, these devices may not be available in all countries worldwide at the date of publication.
Legal restrictions
This work was produced by AO Foundation, Switzerland. All rights reserved by AO Foundation. This publication, including all parts thereof, is legally protected by copyright.
Any use, exploitation or commercialization outside the narrow limits set forth by copyright legislation and the restrictions on use laid out below, without the publisher‘s consent, is illegal and liable to prosecution. This applies in particular to photostat reproduction, copying, scanning or duplication of any kind, translation, preparation of microfilms, electronic data processing, and storage such as making this publication available on Intranet or Internet.
Some of the products, names, instruments, treatments, logos, designs, etc referred to in this publication are also protected by patents, trademarks or by other intellectual property protection laws (eg, “AO” and the AO logo are subject to trademark applications/registrations) even though specific reference to this fact is not always made in the text. Therefore, the appearance of a name, instrument, etc without designation as proprietary is not to be construed as a representation by the publisher that it is in the public domain.
Restrictions on use: The rightful owner of an authorized copy of this work may use it for educational and research purposes only. Single images or illustrations may be copied for research or educational purposes only. The images or illustrations may not be altered in any way and need to carry the following statement of origin “Copyright by AO Foundation, Switzerland”.
Check www.aofoundation.org/disclaimer for more information.
If you have any comments or questions on the articles or the new devices, please do not hesitate to contact us.
“approved by AO Technical Commission” and “approved by AO Foundation”
The brands and labels “approved by AO Technical Commission” and “approved by AO Foundation”, particularly "AO" and the AO logo, are AO Foundation's intellectual property and subject to trademark applications and registrations, respectively. The use of these brands and labels is regulated by licensing agreements between AO Foundation and the producers of innovation products obliged to use such labels to declare the products as AO Technical Commission or AO Foundation approved solutions. Any unauthorized or inadequate use of these trademarks may be subject to legal action.
AO ITC Innovations Magazine
Find all issues of the AO ITC Innovations Magazine for download here.
Innovation Awards
Recognizing outstanding achievements in development and fostering excellence in surgical innovation.




