Norian Reinforced

Just like its sibling for trauma indications, the new Norian reinforced is a moldable, biocompatible, calcium-phosphate bone cement with added reinforced fibers that sets at body temperature (Click here for the full article). It is indicated for repairing or filling craniofacial defects and craniotomy cuts with a surface area no larger than 25 cm. Other indications include the restoration or augmentation of bony contours of the craniofacial skeleton (including the frontoorbital, malar, and mental areas), such as burr-hole voids and other craniofacial defects.

Although calcium phosphate cements have been used for some time as a treatment for cranial defects with easy administration via injection or manual placement, the occasional experience of early fragmentation and failure to set have led surgeons to refrain from using it in many cases. The vast majority of failures tend to occur early in the initial setting time, especially as an effect of dural pulsations. In order to address this reinforcing fibers and a sodium hyaluronate-based solution were added to the formula of the existing Norian CRS. The fibers, consisting of a 82:18 polylactide:glycolide copolymer, reinforce the ceramic when setting at body temperature and result in a resistance against cracking during the setting phase, whereas the sodium hyaluronate solution has been added in order to enhance mixing and handling properties.

Norian reinforced is not intended for use in the spine and should not be used in the presence of active or suspected infection. Just like the former Norian CRS there are two available delivery forms: Norian reinforced is an injectable paste that is mixed with an automatic mixer, Norian reinforced fast-set putty is manually mixed with a cup and spatula.

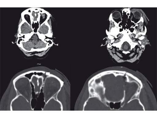
Resection of orbital lymphangioma in a 29-year-old woman.

Case provided by Christian Matula, Wien, Austria

Fig 1 Preoperative images.


Fig 2ad Intraoperative images.


Fig 3 Postoperative images.

Hazards and labeling

Due to varying countries’ legal and regulatory approval requirements, consult the appropriate local product labeling for approved intended use of the products described on this website. All devices on this website are approved by the AO Technical Commission. For logistical reasons, these devices may not be available in all countries worldwide at the date of publication. 


Legal restrictions

This work was produced by AO Foundation, Switzerland. All rights reserved by AO Foundation. This publication, including all parts thereof, is legally protected by copyright.

Any use, exploitation or commercialization outside the narrow limits set forth by copyright legislation and the restrictions on use laid out below, without the publisher‘s consent, is illegal and liable to prosecution. This applies in particular to photostat reproduction, copying, scanning or duplication of any kind, translation, preparation of microfilms, electronic data processing, and storage such as making this publication available on Intranet or Internet.

Some of the products, names, instruments, treatments, logos, designs, etc referred to in this publication are also protected by patents, trademarks or by other intellectual property protection laws (eg, “AO” and the AO logo are subject to trademark applications/registrations) even though specific reference to this fact is not always made in the text. Therefore, the appearance of a name, instrument, etc without designation as proprietary is not to be construed as a representation by the publisher that it is in the public domain.

Restrictions on use: The rightful owner of an authorized copy of this work may use it for educational and research purposes only. Single images or illustrations may be copied for research or educational purposes only. The images or illustrations may not be altered in any way and need to carry the following statement of origin “Copyright by AO Foundation, Switzerland”.

Check www.aofoundation.org/disclaimer for more information.

 

If you have any comments or questions on the articles or the new devices, please do not hesitate to contact us


“approved by AO Technical Commission” and “approved by AO Foundation”
The brands and labels “approved by AO Technical Commission” and “approved by AO Foundation”, particularly "AO" and the AO logo, are AO Foundation's intellectual property and subject to trademark applications and registrations, respectively. The use of these brands and labels is regulated by licensing agreements between AO Foundation and the producers of innovation products obliged to use such labels to declare the products as AO Technical Commission or AO Foundation approved solutions. Any unauthorized or inadequate use of these trademarks may be subject to legal action.

AO ITC Innovations Magazine

Find all issues of the AO ITC Innovations Magazine for download here.

Meet the Experts

Directly learn about AO Approved Solutions from the Experts themselves.

Innovation Awards

Recognizing outstanding achievements in development and fostering excellence in surgical innovation.