Why would you use anything other than double loop cerclage?
BY SIMON C. ROE
-
Wire cerclage
Wire cerclage are used for stabilizing long oblique shaft fractures and for preventing peri-prosthetic fractures that might occur around the femoral stem during total hip replacement. There are three knot types used to secure cerclage: a twist, a single loop, and a double loop.
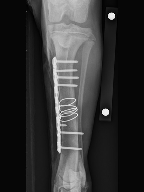
Image 1: Long oblique fracture of the tibia stabilized with two double loop cerclage, and then a medial bone plate
Image 2: An intra-operative fissure occurred while preparing the femur for an uncemented femoral stem. Two double loop cerclage were placed and a BFX Lateral bolt stem place
At the beginning of my career, I did a couple of studies on cerclage wire which showed that the double loop cerclage style generated more compression and resisted loosening better than cerclage tied with a twist knot,1 and that surgeon experience did not influence the tightness of a cerclage, and that a student with no experience tying cerclage at all could consistently tie a double loop cerclage with much greater tension than the best twist knot cerclage.2
More recently, I showed that double loop cerclage were much more resistant to cyclic loading.3 The study also showed that twist knots loosen very quickly, even with very low loads. So, I am often surprised to learn that only few surgeons use double loop cerclage. And I wonder why that is?
A common misconception
I have heard that some are concerned that double loop cerclage are too tight and somehow “strangles” the bone. The blood flow in bone is not longitudinal—it flows mostly from the surface across the cortex. When cerclage loosen, the radiographic appearance does suggest local damage to the blood supply—but that is due to them being loose, not due to any impediment of blood flow due to them being tight.
So, why do cerclage loosen?
The most common reason for cerclage to loosen is that they weren’t applied appropriately. A common mistake is to use cerclage to hold fragments together without fully and accurately rebuilding the cortical shaft. When bone fragments shift and the diameter reduces, even the tightest cerclage will become loose. If the cerclage is placed correctly, the load required to even start to loosen it must be greater than the tension in the cerclage. Therefore, a tighter cerclage, aka a double loop cerclage, will be more secure.
Cerclage are also very helpful in managing peri-prosthetic fissures and fractures around a femoral stem. Again, a cerclage that withstands a much greater load without loosening (double loop) will be able to provide much greater support for a stem than one that loosens as soon as any load is applied (twist knot). Yet, there are surgeons who choose to use an inferior wire configuration in this high stakes situation – I would love to know why?
So, why not use double loop all the time?
Did their mentors not teach them? Have they just not bothered to purchase the instrument needed? Do they somehow think their twist knot is better than everyone else’s? Is change just not worth the bother?
Maybe someone reading this article can explain to me why they don’t use the double loop style cerclage whenever possible.
About the author:
Simon C. Roe, BVSc, MVSc, MS, PhD, Diplomate of the American College of Veterinary Surgeons, Founding Fellow, Joint Replacement Surgery has recently retired from 31 years as a small animal orthopaedic surgery faculty at North Carolina State University. He completed his veterinary degree at the University of Queensland in 1979. He did his residency at the University of Illinois and became an ACVS Diplomate in 1992. He completed his PhD at the University of New South Wales in 1991. After jointing NC State in 1991, he was promoted to Professor in 2006. His research interests are in biomechanics of tissues and implants. He has taught cerclage wire tying at MANY AO Principles Courses, including developing a Skills station that demonstrates the superiority of the double loop knot over the twist knot. He was a member of the AO Education Committee from 2015 to 2021. He co-Chaired an AO Surgical Approaches course in 2020.
References
- Roe SC. Mechanical comparison of cerclage wires: Introduction of the double-wrap/loop and loop/twist types, Vet Surg, 26:310-316, 1997
- Roe SC. Evaluation of tension obtained by use of three knots for tying cerclage wires by surgeons of various abilities and experience, JAVMA, 220(3):334-336, 2002
- Butare-Smith L, Roe SC: Double loop cerclage resist greater loads for more cycles than twist and single loop cerclage, Vet Surg, 2022. 51:335-340 http://dx.doi.org/10.1111/vsu.13756
Disclaimer
The articles included in the AO VET Blog represent the opinion of individual authors exclusively and not necessarily the opinion of AO VET or AO Foundation.


