MAXFRAME Multi-Axial Deformity Correction System
Theodor F. Slongo, J. Spence Reid
The MAXFRAME™ Multi-Axial Correction System is a computer-assisted circular ring fixation system based on two rings connected with six adjustable struts configured as a hexapod. The modular nature of MAXFRAME System enables surgeons to customize each frame to meet individual patient needs. The MAXFRAME System is designed to reduce procedure complexity by streamlining the surgical and software workflows. A simplified surgical workflow and streamlined set configuration can optimize time in the operating room.
Update I
In 2021, the MAXFRAME System has been updated with a new Software release and additional Hardware:
- The MAXFRAME 3D Software 2.0 assists with the creation of treatment planning when applying the MAXFRAME System.
- New Hardware has been added to the MAXFRAME System to enhance versatility specifically in relation to the linear struts. Surgeons can transition from a moving to a stable frame without changing the components used for mounting the rings to bone.
Extension
In 2022, the MAXFRAME System has been extended by MAXFRAME AUTOSTRUT™ and the Software has been updated accordingly.
Introduction to MAXFRAME technology
One of the unique features of the MAXFRAME deformity correction system (Fig 1) is that it required software development and a new approach to planning and teaching. The MAXFRAME is the first and only technology in the AO/DPS portfolio of products in which the hardware provided is directly used as an "input" for the software planning, calculating the treatment plan. Furthermore, MAXFRAME technology provides the first planning software capable of transforming x-ray images based on identified hardware components into a real-time 3-D reconstruction. The MAXFRAME system can also be used as a temporary reduction tool in case of acute correction and plate or nail fixation. In this case, the reduction can be checked using a C-arm or, for exact planning and positioning, the MAXFRAME 3-D software is used with perspective frame matching.
The MAXFRAME specific components of the hexapod frame are the rings and footplates, and the struts. The rings and footplates are mounted onto bone fragments using wires and half-pins similar to the DO Ring Fixator system. The components are available in several sizes and can be used in multiple configurations in order to provide the stability and range of motion required for the correction. Surgeon preference drives the use of the MAXFRAME hardware to ensure optimal correction and patient comfort throughout the treatment.
Six struts connected to two rings in a specified order build a hexapod frame. Through changing the length of the struts, the rings move in a calculated relationship to each other. As this calculation between the rings is basically dependent on an 8th degree trigonometrical system of equations, the MAXFRAME 3-D software is required to provide controlled change of strut length and movement, in accordance with a treatment plan with defined limiting factors for patient safety. The standard method (manual measuring and data input) workflow in the MAXFRAME 3-D software provides all of the parameterization required to calculate the treatment plan for any 3-D correction based on well-established knowledge. In addition to the standard method commonly used in hexapod systems, the MAXFRAME 3-D software provides the perspective frame matching (PFM) method and the acute intentional deformation (AID) method. The PFM workflow is briefly described later on. The AID workflow is a straight forward method usually adopted when the strut values required to enable a simple transition from the deformed to corrected state is known and calculated.
Surgeons "language" used to define parameters/values
The MAXFRAME 3-D software does not use a special technical language. Deformation parameters are not defined according to your chosen reference ring as with other hexapod systems, but rather in the same way clinical deformity is determined. Input values are defined in sentences rather than in abstract numbers in order to avoid misunderstanding or misinterpretation of the definition of the value.
3-D animation a comparison to reality
One of the highlights of the MAXFRAME 3-D software is the 3-D animation of the frame and bone segments in all scenarios during the treatment plan. This animation is a very helpful tool used to check the parametrization and view the structure from any angle. If the 3-D animation looks different to what is viewed when looking at the frame, input values should be checked for errors and amended (Fig 2).
Perspective Frame Matching (PFM) a new planning tool based on 3-D reconstruction
A 3-D reconstruction of a clinical situation is commonly used in navigation. One of the prerequisites for 3-D reconstruction based on two x-rays is the matching of characteristic landmarks or markers of a known body. The perfectly known body in a MAXFRAME is the frame construct itself. As we are already aware, the geometry of a MAXFRAME is perfectly defined through specific placement of rings and struts. The perspective frame matching method workflow uses this defined frame geometry to produce a perfect 3-D reconstruction of the clinical situation in the individual case. The struts as seen in the x-ray images are matched by their joints and/or axis and the 3-D reconstruction is calculated based on this matching on both images. The images do not need to be rectangular or perfectly shot along the axis. The only prerequisite is that all struts, preferably with the joints, are visible in both x-ray images (Fig 3).
The primary advantage of this method is that artefacts of X-ray imaging are no longer a problem for getting true and exact values. An x-ray is, by definition, only a projection of the real structure like the shadow of a pencil on a piece of paper. As the size of the "shadow" is dependent on the distance between the object and the source of the light, all structures are magnified on an x-ray and exact values cannot really be measured. In addition, if the structure is in an oblique as opposed to parallel plane when compared to the x-ray, the size of the object is shortened in the direction rectangular to the axis that is common to both planes. The challenges presented by x-ray can be solved with a 3-D reconstruction, enabling the definition of points and axis in space. After the PFM is complete with acceptable precision, the points of reference, the bone axis, and any structure of interest can easily be identified by "marking" them in both x-ray images. All the distances and angles between the structures of interest are directly calculated based on these markings and no value needs to be "measured" in the traditional way.
Update I
What is new in MAXFRAME 3D Software 2.0?
A more efficient logic makes data management easier with the new MAXFRAME 3D Software 2.0. Surgeons can view patient case information directly in the overview without the need to search and navigate through stored data.
Entering patient- and case-related data into MAXFRAME 3D Software 2.0 provides surgeons with a more logical workflow. The planning process is intuitive and unlike the previous system (Fig 4), all data entries are saved and remain in the dataset if they are not affected by a change of predefining data in the workflow. It is easy to revise plans and make changes based on clinical decisions. The stored data is easy to retrieve, and the display of information is clear. The data for each component in the frame’s configuration is structured in a table format allowing a clear overview of all parameters.
The improvements in the visualization of the frame allow the user to see all parts as they appear in real life (Fig 5). Struts can be viewed from all angles so the entire construct can be fully appreciated.
The possibility to define up to five phases during the preoperative planning process is a useful new feature of the MAXFRAME 3D Software 2.0. Surgeons can define phases according to specific procedural steps and ensure safety throughout. Phases allow for a clear overview of the procedure and assist with the avoidance of interference of bone segments and/or frame components (Fig 6).
The treatment plan has been adapted to display each phase in a different color making the new MAXFRAME 3D Software 2.0 extremely user friendly. If the entered data may be incorrect, the system now alerts users to check the data and adapt their planning if necessary (Fig 7). This is a significant update from the first release.
New MAXFRAME Hardware
The new Linear Struts
The original MAXFRAME Hardware is a hexapod consisting of two rings and six struts. New linear versions of the latter with variable joints enable intraoperative alterations to the frame configuration without risking construct instability (Fig 8). Before the new linear struts, hardware from the Distraction Osteogenesis (DO) Ring System was required to enable strut exchange.
There are several options for adjusting the length of the linear struts depending on surgeon preference. At the end of a patient’s deformity correction with the MAXFRAME, it is possible to opt for definitive treatment using the MAXFRAME rather than potentially resorting to open reduction and internal fixation. Traditional MAXFRAME struts can be exchanged for a lesser number of linear struts and provide a stable construct for final healing.
In some scenarios, linear struts can also replace threaded rods in a normal ring fixator construct. This may be a preference for surgeons who prefer the ease of use presented by the linear struts compared with threaded rods. Linear struts also provide superior stability and enhanced versatility of the ring frame construct.
The new connecting elements
The improved connecting elements provide new Schanz Screw Connectors with fixed angles for positioning of the Schanz screws. When using slotted posts, stability is dependent on friction (Fig 9). The new Schanz Screw Connectors offer only one angle of connection, thereby providing increased stability in the frame construct.
The new third and half rings in the system provide versatility in the type of frame selected and strengthen the construction of the bone segments.
The new Schanz screws with blunt tip
Looking forward, only two versions of Schanz screw will be available: a Seldrill (self-drilling, self-tapping) Schanz screw and a blunt-tipped Schanz screw (Fig 10).
Seldrill Schanz screws will largely remain the same but with alterations to the available range of thread lengths.
Schanz screws with blunt tip will be offered in the same range as their Seldrill counterparts but will also possess a blunt tip allowing better purchase in the far cortex and a subsequent decreased risk of soft-tissue irritation. The blunt-tipped Schanz screws also react differently when exposed to the magnetic field of a magnetic resonance imaging, becoming less affected by the heat, and thereby acting to further protect the surrounding soft tissue.
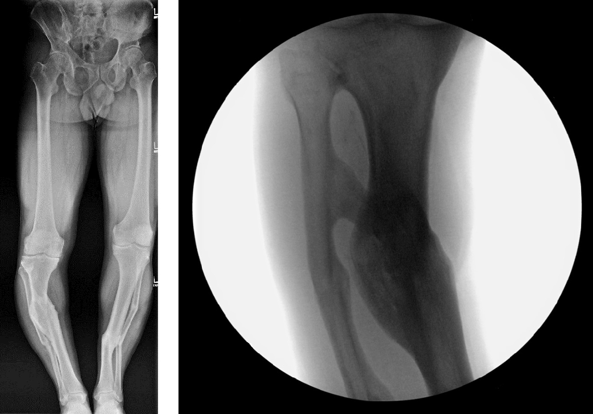
Case: Tibial malunion
Case provided by J Spence Reid, Hershey, USA
A 54-year-old man suffered bilateral tibial fractures 20 years earlier, both treated in a cast. He now experiences pain in the medial right knee. Images taken showed that both legs had substantial malunion, but the right knee caused pain because it was out of mechanical axis (Fig 11). The patient was successfully treated with the MAXFRAME system (Figs 12 to 15).
Complex Deformity Corrections in Long Bones Using External Fixation
3D Deformity correction: DO-Ring system and next generation of HEXAPOD system
Hazards and labeling
Due to varying countries’ legal and regulatory approval requirements, consult the appropriate local product labeling for approved intended use of the products described on this website. All devices on this website are approved by the AO Technical Commission. For logistical reasons, these devices may not be available in all countries worldwide at the date of publication.
Legal restrictions
This work was produced by AO Foundation, Switzerland. All rights reserved by AO Foundation. This publication, including all parts thereof, is legally protected by copyright.
Any use, exploitation or commercialization outside the narrow limits set forth by copyright legislation and the restrictions on use laid out below, without the publisher‘s consent, is illegal and liable to prosecution. This applies in particular to photostat reproduction, copying, scanning or duplication of any kind, translation, preparation of microfilms, electronic data processing, and storage such as making this publication available on Intranet or Internet.
Some of the products, names, instruments, treatments, logos, designs, etc referred to in this publication are also protected by patents, trademarks or by other intellectual property protection laws (eg, “AO” and the AO logo are subject to trademark applications/registrations) even though specific reference to this fact is not always made in the text. Therefore, the appearance of a name, instrument, etc without designation as proprietary is not to be construed as a representation by the publisher that it is in the public domain.
Restrictions on use: The rightful owner of an authorized copy of this work may use it for educational and research purposes only. Single images or illustrations may be copied for research or educational purposes only. The images or illustrations may not be altered in any way and need to carry the following statement of origin “Copyright by AO Foundation, Switzerland”.
Check www.aofoundation.org/disclaimer for more information.
If you have any comments or questions on the articles or the new devices, please do not hesitate to contact us.
“approved by AO Technical Commission” and “approved by AO Foundation”
The brands and labels “approved by AO Technical Commission” and “approved by AO Foundation”, particularly "AO" and the AO logo, are AO Foundation's intellectual property and subject to trademark applications and registrations, respectively. The use of these brands and labels is regulated by licensing agreements between AO Foundation and the producers of innovation products obliged to use such labels to declare the products as AO Technical Commission or AO Foundation approved solutions. Any unauthorized or inadequate use of these trademarks may be subject to legal action.
AO ITC Innovations Magazine
Find all issues of the AO ITC Innovations Magazine for download here.
Innovation Awards
Recognizing outstanding achievements in development and fostering excellence in surgical innovation.














