Nachwuchsförderung 2021
Preisträger AO TD Nachwuchsförderung 2021
Beitrag von Julia Bolte
Universitäts-Centrum Dresden, Klinik für Orthopädie, Unfall-, und Plastische Chirurgie
Verbesserung der Implantatosteointegration und der Knochendichte im osteoporotischen metaphysären Knochen der Ratte
Die Behandlung von osteoporotischen Frakturen ist im klinischen Alltag eine große Herausforderung. Aufgrund der schlechten Knochenqualität lassen sich Implantate schlecht verankern, können lockern oder versagen mitunter, zusätzlich kommt es aufgrund der generellen Beeinträchtigung des Knochens zu weiteren Frakturen, die zu einer fortschreitenden Immobilität der Patienten führen können. Eine alleinige operative Behandlung ist daher in der Regel nicht ausreichend, sondern muss durch eine systemische Therapie für den Knochen ergänzt werden, um die Knochenqualität zu verbessern.
In Vorstudien zeigten sowohl Prostaglandinrezeptor-Agonisten als auch Bisphosphonate bei systemischer Anwendung, dass sie, insbesondere in Kombination, die Knochendichte von osteoporotischem Knochen erhöhen können. Die systemische Behandlung mit Prostaglandinrezeptor-Agonisten ist allerdings mit erheblichen unerwünschten Nebenwirkungen assoziiert. Es soll daher in der nun von der AO Trauma Deutschland geförderten Studie versucht werden, durch eine lokale Anwendung diese Nebenwirkungen wesentlich abzuschwächen und den Knochen lokal zu stärken.
Hypothese der Studie ist, dass die Schraubenosteointegration im metaphysären, osteoporotischen Knochen verbessert wird, indem eine Augmentation mittels resorbierbarem Calciumsulfat/Hydroxlyapatit (CaS/HA(-Zement)) Biokomposit und lokaler Freisetzung des Prostaglandinrezeptor-Agonisten KMN-159 sowie Zoledronsäure erfolgt. Dafür wird zunächst in vitro die Freisetzung von KMN-159 und Zoledronsäure aus einem CaS/HA(-Zement) Biokomposit untersucht. Anschließend soll in vivo im metaphysären Osteoporosemodell an der Ratte die Osteointegration einer 2,4 mm Titanschraube am distalen Femur untersucht werden, die je nach Gruppenzugehörigkeit in den CaS/HA(-Zement) Biokomposit eingeschraubt wird, welcher mit KMN-159 und/ oder Zoledronsäure funktionalisiert wird. Der Nachuntersuchungszeitraum beträgt 6 Wochen. Mittels μCT werden die Knochendichte und das Knochenvolumen, die Anzahl und Aufteilung der Trabekel untersucht. Des Weiteren wird die Osteointegration der Schrauben biomechanisch mittels Ausdrehmoment der Schrauben analysiert. Es werden zudem histologische Hartgewebsschnitte gefärbt, um das „implant bone interface“ zu untersuchen und die Zahl an Osteoblasten, Osteoklasten, sowie Gefäßen im Implantatumgebenden Knochen zu ermitteln.
Sollte sich die Hypothese bestätigen, so könnte die Schraubenosteointegration im osteoporotischen Knochen durch eine Augmentation mit Knochenzement unter lokaler Freisetzung eines Prostaglandinrezeptor-Agonisten in Kombination mit Zoledronsäure verbessert werden. Dies könnte dazu beitragen, bei Patienten mit osteoporotischen Frakturen die Materiallockerungs- und Revisionsrate zu senken, erneute Operationen zu vermeiden und die Morbidität und Mortalität zu reduzieren.
Beitrag von Nils Becker
Uniklinik RWTH Aachen, Klinik für Orthopädie- Unfall-, und Wiederherstellungschirurgie
Einfluss der Frakturstabilisierung im Polytrauma auf die Zusammensetzung extrazellulärer Vesikel und die Frakturheilung
Hintergrund:
Die Versorgung schwerverletzter Patienten ist nach wie vor herausfordernd. Vor allem Frakturen der Extremitäten sind häufig. Dabei scheinen posttraumatische Entzündungsprozesse u.a. das immunologische Milieu im Frakturbereich und damit die Frühphase der Knochenheilung zu beeinflussen. Die häufigste Begleitverletzung, das Thoraxtrauma, scheint sich dabei negativ auf die Knochenheilung auszuwirken. In den letzten Jahren zeigten sich trauma- und frakturinduzierte extrazelluläre Vesikel (EV), als Träger verschiedener immunmodulatorischer Inhalte, sowohl an pulmonalen, wie auch an osteogenen Inflammationsprozessen maßgeblich beteiligt. Dabei beeinflussen sie das osteogene Potential von Osteoblasten.
In der Frakturversorgung schwerverletzter Patienten stehen sich das Damage Control Surgery (DCO) und das Early Total Care (ETC) Konzept gegenüber. Die Entscheidung für eine Versorgungsstrategie richtet sich u.a. nach der Verletzungsschwere und den Begleitverletzungen. Wie sich die Zusammensetzung der EVs bei vorliegender Lungenkontusion im Rahmen eines Polytraumas und vor dem Hintergrund der Frakturversorgung (interne oder externe Stabilisation) verhält und welchen Einfluss das auf die Knochenheilung hat, ist bislang unzureichend erforscht.
Hypothese:
Die interne (1) und externe (2) Frakturstabilisierung führen über die unterschiedliche systemische Freisetzung von extrazellulären Vesikeln (3) zu einem veränderten osteogenen Potential im Polytraumamodell der Ratte.
Methodik:
Um dieser Hypothese nachzugehen, ist ein Polytraumamodell in der Ratte mit standardisiertem Thoraxtrauma, hämorrhagischem Schock, einer Femurfraktur und unterschiedlicher Frakturversorgung geplant und genehmigt. Die Ratten werden nach Traumainduktion und Versorgung über einen Versuchszeitraum von 42 Tagen beobachtet. Unter anderem sind Untersuchungen zur Frakturheilung (Mikro-CT, Ganganalysen, histologische Analysen, biomechanische Tests) und der EVs geplant. Die EVs werden zur Analyse der Genexpression osteogener Faktoren isoliert und mit verschiedenen Zelltypen inkubiert.
Ziel:
Wir erwarten einen Unterschied des osteogenen Potentials und der Knochenqualität in Abhängigkeit der Methode der Frakturversorgung. Das Projekt soll die Grundlage für weitere Untersuchungen bilden, um das komplexe Zusammenspiel immunologischer Abläufe an der Frakturzone im Hinblick auf die Frakturheilung zu verstehen und Konzepte zur Verhinderung von Dysregulationen und resultierenden Komplikationen zu erarbeiten.
Beitrag von Dr. med. Heilwig Fischer
Charité – Campus Virchow Klinikum Berlin, Klinik für Mund-, Kiefer- und Gesichtschirurgie
Evaluation des osteoimmunologischen Potentials von Magnesiumimplantaten in vitro
Sowohl im Bereich der Mund-, Kiefer und Gesichtschirurgie als auch in Orthopädie und Unfallchirurgie existieren zahlreiche Anwendungsmöglichkeiten für resorbierbare Schrauben und Platten auf Magnesiumbasis. Dazu gehört einerseits die Frakturbehandlung, andererseits aber auch die onkologische und rekonstruktive Chirurgie. Um den komplexen Prozess der Knochenheilung zu ermöglichen, ist allerdings über die reine mechanische Stabilität hinaus ein enges und erfolgreiches Zusammenspiel des Immunsystems, der Osteogenese und der Angiogenese notwendig (Loeffler et al., 2018). Um diesem Umstand gerecht zu werden, wurde das Konzept der bioaktiven Osteosynthese entwickelt, welches besagt, dass eine Osteosynthese nicht nur die Fraktur stabilisieren, sondern darüber hinaus auch bioaktive Eigenschaften besitzen sollte (Chen et al., 2016).
Magnesium ist ein resorbierbares Material, wobei bei der Degradation Magnesiumionen freigesetzt werden. Diese freiwerdenden Magnesiumionen haben einen stimulierenden Effekt auf Immunzellen, insbesondere induzieren sie eine Veränderung der Makrophagenpolarisation und die Freisetzung von antiinflammatorischen Zytokinen (Zhang et al., 2019). Ein, durch die Veränderung der Makrophagenpolarisation ausgelöster, früherer antiinflammatorischer Shift in der Knochenheilung kann die enchondrale Ossifikation begünstigen und so die Knochenheilung unterstützen (Schlundt et al., 2018). Jedoch besteht die Möglichkeit, dass Nebenprodukte der Magnesiumdegradation, wie beispielsweise Wasserstoffgas, die Knochenneubildung stören, wenn die Degradationsgeschwindigkeit die Diffusionsgeschwindigkeit in umliegenden Geweben übersteigt (Witte, 2015). Als Konsequenz können Hohlräume um die Magnesiumschrauben entstehen (Wang et al., 2020). Die Verwendung von passivierenden Elementen in einer Magnesiumlegierung und auch Oberflächenmodifikationen wie beispielsweise Plasmaelektrolytmodifikationen (PEO) reduzieren die Degradationsrate der Magnesiumimplantate und verlangsamen somit die Gasbildung (Imwinkelried et al., 2013). In der Magnesiumlegierung WE43 sind seltene Erden enthalten, die als passivierende Elemente agieren (Imwinkelried et al., 2013).
Die Bioaktivierung von Titanimplantaten mittels PEO-Oberflächenmodifikation hat gezeigt, dass die Immunreaktion, Angiogenese und die Osseointegration durch die PEO-Oberflächenmodifikation positiv beeinflusst werden (Bai et al., 2018). Die Auswirkungen einer Freisetzung von proinflammatorischen Zytokinen im Verlauf der Knochenheilung zeigt sich zeit- und dosisabhängig (Chen et al., 2016). Es ergibt sich die Frage, ob sich die Osteogenese durch die osteoimmunologische Wirkung der Magnesiumionen und die PEO-Oberflächenmodifikation verstärkt oder sich die Effekte gegenseitig aufheben. Ziel dieser Arbeit ist es, die immunmodulatorischen, osteogenetischen und angiogenetischen Effekte von WE43-basierten Magnesiumimplantaten mit und ohne PEO-Oberflächenmodifikation zu untersuchen. Die Hypothese lautet, dass sich durch die PEO-Oberflächenmodifikation auf WE43-basierten Magnesiumimplantaten die immunmodulatorischen, osteogenetischen und angiogenetischen Eigenschaften verbessern lassen.
In einem Vorläuferprojekt wurde die Degradation von WE43-basierten Magnesiumplatten und -schrauben im Großtiermodell nach 6 und 12 Monaten untersucht. Bei den PEO-oberflächenmodifizierten Implantaten zeigte sich eine signifikante Reduktion der Implantatdegradation nach 6 Monaten im Vergleich zu den Implantaten ohne PEO-Oberflächenmodifikation. Darüber hinaus zeigte sich histologisch ein signifikant höherer Knochenanteil über den PEO-modifizierten Platten nach 6 Monaten. Aufgrund des höheren Knochenanteils im subperiostalen Kompartiment über den Platten konnte auf eine, durch die PEO-Oberflächenmodifikation begünstigte, osteostimulative Wirkung geschlossen werden (Rendenbach et al., 2021). Ziel dieses Projektes ist es, den Grund für den beobachteten osteostimulativen Effekt besser zu verstehen. Dazu sollen besonders die Untersuchungen mit den humanen Periostzellen und die indirekte Co-Kultur mit den Degradationsprodukten von WE43-basierten Prüfkörpern mit und ohne PEO-Oberflächenmodifikation Hinweise auf den Mechanismus hinter der osteostimulativen Wirkung geben. Dieses Wissen kann zu zukünftigen verbesserten Frakturversorgungsstrategien beitragen und einer Nutzung von bioaktiven Implantaten den Weg ebnen.
Referenzen:
Bai, L., Du, Z., Du, J., Yao, W., Zhang, J., Weng, Z., Liu, S., Zhao, Y., Liu, Y., Zhang, X., Huang, X., Yao, X., Crawford, R., Hang, R., Huang, D., Tang, B., Xiao, Y., 2018. A multifaceted coating on titanium dictates osteoimmunomodulation and osteo/angio-genesis towards ameliorative osseointegration. Biomaterials 162, 154–169. https://doi.org/10.1016/j.biomaterials.2018.02.010
Chen, Z., Klein, T., Murray, R.Z., Crawford, R., Chang, J., Wu, C., Xiao, Y., 2016. Osteoimmunomodulation for the development of advanced bone biomaterials. Materials Today 19, 304–321. https://doi.org/10.1016/j.mattod.2015.11.004
Imwinkelried, T., Beck, S., Iizuka, T., Schaller, B., 2013. Effect of a plasmaelectrolytic coating on the strength retention of in vivo and in vitro degraded magnesium implants. Acta Biomater 9, 8643–8649. https://doi.org/10.1016/j.actbio.2012.08.047
Loeffler, J., Duda, G.N., Sass, F.A., Dienelt, A., 2018. The Metabolic Microenvironment Steers Bone Tissue Regeneration. Trends in Endocrinology & Metabolism 29, 99–110. https://doi.org/10.1016/j.tem.2017.11.008
Rendenbach, C., Fischer, H., Kopp, A., Schmidt-Bleek, K., Kreiker, H., Stumpp, S., Thiele, M., Duda, G., Hanken, H., Beck-Broichsitter, B., Jung, O., Kröger, N., Smeets, R., Heiland, M., 2021. Improved in vivo osseointegration and degradation behavior of PEO surface-modified WE43 magnesium plates and screws after 6 and 12 months. Materials Science and Engineering: C 129, 112380. https://doi.org/10.1016/j.msec.2021.112380
Schlundt, C., El Khassawna, T., Serra, A., Dienelt, A., Wendler, S., Schell, H., van Rooijen, N., Radbruch, A., Lucius, R., Hartmann, S., Duda, G.N., Schmidt-Bleek, K., 2018. Macrophages in bone fracture healing: Their essential role in endochondral ossification. Bone 106, 78–89. https://doi.org/10.1016/j.bone.2015.10.019
Wang, J., Xu, J., Hopkins, C., Chow, D.H., Qin, L., 2020. Biodegradable Magnesium‐Based Implants in Orthopedics—A General Review and Perspectives. Adv Sci (Weinh) 7. https://doi.org/10.1002/advs.201902443
Witte, F., 2015. Reprint of: The history of biodegradable magnesium implants: A review. Acta Biomater 23 Suppl, S28-40. https://doi.org/10.1016/j.actbio.2015.07.017
Zhang, X., Chen, Q., Mao, X., 2019. Magnesium Enhances Osteogenesis of BMSCs by Tuning Osteoimmunomodulation. BioMed Research International 2019, e7908205. https://doi.org/10.1155/2019/7908205
Beitrag von Dr. med. Alexander Milstrey
Universitätsklinikum Münster, Klinik für Unfall-, Hand- und Wiederherstellungschirurgie
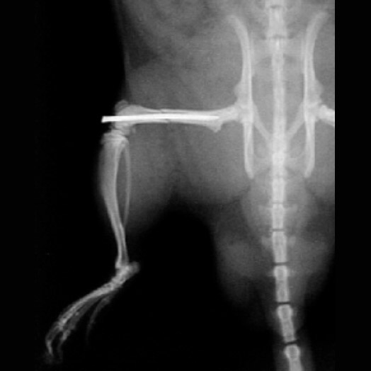
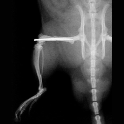
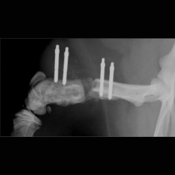
Biomechanischer Effekt der additiven Stabilisierung des anteriofen Syndesmosenbandes bei osteosynthetisch versorgten Sprungglenkfrakturen mit Fraktur des hinteren Kantenfragmentes im Vergleich zur konventionellen Stellschraube
Bei dem mit der Verleihung der AO Trauma Nachwuchsförderung auf dem DKOU 2021 ausgezeichneten Projekt planen wir die Biomechanik von instabilen Syndesmosenverletzungen mit einem hinteren Kantenfragment sowie die anatomische Rekonstruktion von Syndesmosenverletzungen mit der konventionellen Stellschraube zu vergleichen.
In den letzten Jahren erfolgte ein Paradigmenwechsel bezüglich der osteosynthetischen Versorgung auch kleinerer hinterer Kantenfragmente, da diese als knöcherner Ausriss des hinteren Syndesmosenblattes anatomisch zur Wiederherstellung der physiologischen Stellung und Stabilität der Sprunggelenkskabel führen. Die biomechanischen Auswirkungen einer isolierten Osteosynthese des hinteren Kantenfragmentes und somit der hinteren Syndesmose auf das distale Tibiofibulargelenk sind jedoch nur unzureichend untersucht.
Der aktuelle Standard in der operativen Therapie bei instabilen Syndesmosenverletzungen ist die Stellschraube, welche jedoch ein statisches, rigides Konstrukt darstellt und die physiologischen Mikrobewegungen der Syndesmose unterbindet. Zudem sind häufig Komplikationen wie insbesondere Fehlrepositionen beschrieben. Auch die neueren dynamischen SutureButton Verfahren stellen ein extraanatomisches Rekonstruktionsverfahren dar.
In der geplanten Studie soll nun die Bewegung der Fibula zur Tibia hin in einem bereits in Vorversuchen entwickeltem Projektaufbau an einem 6-Achsen-Industrieroboter unter kontinuierlicher Belastung und Bewegung schrittweise unter Durchtrennung und Rekonstruktion der Syndesmosenregion untersucht werden (Siehe Abbildung 1). Hierbei wird zunächst ein hinteres Kantenfragment osteotomiert sowie im Folgeschritt eine ligamentäre Durchtrennung des vorderen und interossären Syndesmosenblattes präpariert. Im dritten Schritt wird das hintere Kantenfragment durch eine Plattenosteosynthese rekonstruiert. Gegenübergestellt werden in weiteren Versuchsschritten dann die additive Augmentation des vorderen Syndesmosenblattes mit einem SutureTape Fadenanker im Vergleich zur fibulotibialen Stellschraube sowie die Kombination aus beiden Verfahren bis hin zum Load to Failure Test (Siehe Abbildung 2). Ziele der Studie sind zum einen die Untersuchung der Kinematik der Fibula im physiologischen, instabilen sowie dorsal rekonstruierten Zustand, da erste Ergebnisse auf eine persistierende Rotations- und Sagittalinstabilität der Fibula nach Osteosynthese des hinteren Kantenfragmentes hindeuten. Zum anderen soll die Biomechanik und Stabilität einer neuartigen additiven anatomischen Rekonstruktion des vorderen Syndesmosenblattes im Vergleich zur konventionellen Stellschraube untersucht werden. Unsere Hypothese ist folgende: Die OSG-Kinematik wird durch eine Augmentation des vorderen Syndesmosenblattes mit einem anatomisch verlaufenden Fadenanker im Vergleich zur extraanatomischen Stellschraube physiologischer wiederhergestellt.
Danken möchte ich dem Team aus dem „Bonelab“, allen voran Klinikdirektor Univ.-Prof. Dr. Michael Raschke, Arbeitsgruppenleiterin Prof. Dr. Sabine Ochman, Ingenieur Jens Wermers sowie der Doktorandin Stella Gartung, da ein solches Projekt stets eine Teamleistung darstellt und eine Auszeichnung allenfalls stellvertretend für das Team entgegengenommen werden kann.





