Unicompartmental knee arthroplasty versus total knee arthroplasty
Preview
When should a surgeon opt for unicompartmental knee arthroplasty (UKA) versus total knee arthroplasty (TKA) to treat knee osteoarthritis (OA)? UKA may be associated with higher revision rates but there are situations when UKA offers benefits over TKA. Should orthopedic surgeons make efforts to increase the number of UKAs they perform?
Knee OA is a common problem. There is a 50% lifetime risk of developing symptomatic arthritis in the knee [1]. In the US alone, it was estimated in 2016 that close to 14 million people were afflicted with symptomatic knee OA, and there is a growing trend for this condition to develop in younger persons (< 65 years of age) [2].
The associated knee pain, aching, loss of range of motion (ROM) and function, as well as stiffness are all symptoms driving the increasing arthroplasty rates, with predictions of “a four-fold demand for knee arthroplasty in OECD countries by 2030.” [3] Coupled with risk factors such as obesity, gender, injury, and genetics, [4, 5] knee arthritis has been on orthopedic surgeons’ radar for many years…and will continue to be so.
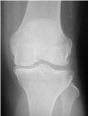
Figure 1. End stage medial compartment osteoarthritis (MOA). Used under CC Attribution 4.0 International License. Source: Mancuso F, Dodd CA, Murray DW, et al. Medial unicompartmental knee arthroplasty in the ACL-deficient knee. J Orthop Traumatol. 2016 Sep;17(3):267–275.
Knee arthroplasty is an accepted surgical treatment to address knee OA. Ideally, patients, together with their surgeons, consider treatment options and prioritized patient-specific considerations, to make fully informed decisions. When asked, patients take into account how fast they could recover and return to work, the potential for revision and complications, functional outcomes, and mortality likelihood [6–8]. It has also been suggested that patients also consider length of the surgical scar when making treatment modality decisions [8].
Typically, depending on the location and progression of the OA, patient characteristics such as age, comorbidities, activity level, and the condition of the anterior cruciate ligament (ACL), a surgeon is presented with several treatment options after conservative management has been exhausted [9]. Simply put, the presence of single compartment (unicondylar) OA is the primary indicator that UKA should at least be considered, [10] together with other factors; this is a special subset of OA patients [11]. Approximately a third of knee OA patients will have the disease confined to a single compartment [12].
This article compares UKA and TKA and asks, “In which situations would you opt for these procedures?” Caution: This decision may not be as straightforward as it appears;[13] both UKA and TKA are accepted and established treatment options for OA of the knee [9, 14, 15].

Jean-Noël Argenson
University Hospital of Marseille
Marseille, France
Jean-Noël Argenson, Professor and Chairman of the University Hospital of Marseille’s Orthopaedics Department, France, explains that, “For many years, TKA has been considered the standard of surgical treatment for knee OA due to demonstrated reproducibility and effectiveness for relieving pain and restoring function; however UKA has increased in popularity over the last twenty years as shown in national orthopedic registries [16]. The indications for UKA are relatively strict with fewer indications compared to TKA since the OA should be limited to one femorotibial compartment of the knee with intact ACL.”
Lateral or medial compartment: Which is more common in UKA?
The lateral compartment is usually involved in 10% of unicompartmental femorotibial arthroplasty cases due to the natural history of OA preferentially loading the medial femorotibial compartment and the higher proportion of “knees in varus” among the general population [17]. Both the anatomical and the biomechanical characteristics are different in each of the knee femorotibial compartments, and similar surgical treatment may not give reproducible results when applied to a different compartment [18, 19]. Jean-Noël Argenson notes that, “UKA in the lateral compartment has been described as technically more challenging and is performed ten times less frequently than medial UKA,” for the reasons explained above.
“However, published studies have suggested that lateral UKA is a reasonable alternative to TKA for isolated lateral femorotibial compartment disease. The mid- and long-term results of lateral UKA have shown satisfying clinical and radiological results. The specific anatomical and biomechanical characteristics of the lateral compartment should be accommodated at the time of surgery when performing lateral UKA. Improvements in patient selection and surgical ancillaries over time have also decreased the failure rate, allowing similar survival for medial and lateral UKA,” says Argenson.
Read the full article with your AO login
- Treatment options: TKA or UKA?
- Kozinn and Scott contraindications
- Patient selection: Oxford indications
- Should a patient’s age, body mass index, or activity level preclude them from a UKA?
- Revision rates influence surgeon procedure selection
- Why are UKA revision rates higher than in TKA?
- Increase the practice proportion of UKA to 20%?
- Benefits of UKA
- In summary
- References
More AO resources
Access videos, tools, and other assets to learn more about this topic:
- AO Surgery Reference
- AO Videos (AO login required)
- AO Course finder
- AO Classification (UCS) (PDF)
- AO E-book
Contributing experts
This series of articles was created with the support of the following specialists (in alphabetical order):
Jean-Noël Argenson
University Hospital of Marseille
Marseille, France
Robert Hube
OCM—Orthopedic Surgery Center Munich
Munich, Germany
Georg Matziolis
Waldkliniken Eisenberg—German Center of Orthopedics
Eisenberg, Germany
This issue was created by Word+Vision Media Productions, Switzerland
References
- Murphy L, Schwartz TA, Helmick CG, et al. Lifetime risk of symptomatic knee osteoarthritis. Arthritis Rheum. 2008 Sep 15;59(9):1207–1213.
- Deshpande BR, Katz JN, Solomon DH, et al. Number of Persons With Symptomatic Knee Osteoarthritis in the US: Impact of Race and Ethnicity, Age, Sex, and Obesity. Arthritis Care Res (Hoboken). 2016 Dec;68(12):1743–1750.
- Pabinger C, Lothaller H, Geissler A. Utilization rates of knee-arthroplasty in OECD countries. Osteoarthritis Cartilage. 2015 Oct;23(10):1664–1673.
- Silverwood V, Blagojevic-Bucknall M, Jinks C, et al. Current evidence on risk factors for knee osteoarthritis in older adults: a systematic review and meta-analysis. Osteoarthritis Cartilage. 2015 Apr;23(4):507–515.
- Prieto-Alhambra D, Judge A, Javaid MK, et al. Incidence and risk factors for clinically diagnosed knee, hip and hand osteoarthritis: influences of age, gender and osteoarthritis affecting other joints. Ann Rheum Dis. 2014 Sep;73(9):1659–1664.
- Ross J, Santhirapala R, MacEwen C, et al. Helping patients choose wisely. Bmj. 2018 Jun 15;361:k2585.
- Bansback N, Trenaman L, MacDonald KV, et al. An individualized patient-reported outcome measure (PROM) based patient decision aid and surgeon report for patients considering total knee arthroplasty: protocol for a pragmatic randomized controlled trial. BMC Musculoskelet Disord. 2019 Feb 23;20(1):89.
- Wilson HA, Middleton R, Abram SGF, et al. Patient relevant outcomes of unicompartmental versus total knee replacement: systematic review and meta-analysis. BMJ. 2019 Feb 21;364:l352.
- Carr AJ, Robertsson O, Graves S, et al. Knee replacement. Lancet. 2012 Apr 7;379(9823):1331–1340.
- Argenson JN, Beaufils P. Unicompartmental knee arthroplasty: Is a reappraisal in order? Orthop Traumatol Surg Res. 2018 Nov;104(7):941–942.
- Tyagi V, Farooq M. Unicompartmental Knee Arthroplasty: Indications, Outcomes, and Complications. Conn Med. 2017 Feb;81(2):87–90.
- Ledingham J, Regan M, Jones A, et al. Radiographic patterns and associations of osteoarthritis of the knee in patients referred to hospital. Ann Rheum Dis. 1993 Jul;52(7):520–526.
- Danford N, Grosso M, Heller MS, et al. Which do patients prefer, unicompartmental or total knee arthroplasty? J Clin Orthop Trauma. 2018 Oct-Dec;9(4):292–294.
- Mortensen JF, Rasmussen LE, Østgaard SE, et al. Randomized clinical trial of medial unicompartmentel versus total knee arthroplasty for anteromedial tibio-femoral osteoarthritis. The study-protocol. BMC Musculoskelet Disord. 2019 Mar 20;20(1):119.
- Lyons MC, MacDonald SJ, Somerville LE, et al. Unicompartmental versus total knee arthroplasty database analysis: is there a winner? Clin Orthop Relat Res. 2012 Jan;470(1):84–90.
- National Joint Registry. National Joint Registry Annual Report 2005-2006 2006.
- Sah AP, Scott RD. Lateral unicompartmental knee arthroplasty through a medial approach. Study with an average five-year follow-up. J Bone Joint Surg Am. 2007 Sep;89(9):1948–1954.
- Ashraf T, Newman JH, Evans RL, et al. Lateral unicompartmental knee replacement survivorship and clinical experience over 21 years. J Bone Joint Surg Br. 2002 Nov;84(8):1126–1130.
- Argenson JN, Parratte S, Bertani A, et al. Long-term results with a lateral unicondylar replacement. Clin Orthop Relat Res. 2008 Nov;466(11):2686–2693.
- Orthopedics today. Surgeon opinions differ on UKA indications and revision rates compared to TKA. Healio. https://www.healio.com/news/orthopedics/20151216/surgeon-opinions-differ-on-uka-indications-and-revision-rates-compared-to-tka. Published 2015. Accessed July 18, 2020.
- Lee Health. Picking a Partial Knee Patient. Vimeo. https://vimeo.com/120917873. Published 2015. Updated February 28, 2015. Accessed July 18, 2020.
- Lunebourg A, Parratte S, Ollivier M, et al. Are Revisions of Unicompartmental Knee Arthroplasties More Like a Primary or Revision TKA? J Arthroplasty. 2015 Nov;30(11):1985–1989.
- Willis-Owen CA, Brust K, Alsop H, et al. Unicondylar knee arthroplasty in the UK National Health Service: an analysis of candidacy, outcome and cost efficacy. Knee. 2009 Dec;16(6):473–478.
- Hamilton TW, Pandit HG, Jenkins C, et al. Evidence-Based Indications for Mobile-Bearing Unicompartmental Knee Arthroplasty in a Consecutive Cohort of Thousand Knees. J Arthroplasty. 2017 Jun;32(6):1779–1785.
- Vasso M, Antoniadis A, Helmy N. Update on unicompartmental knee arthroplasty: Current indications and failure modes. EFORT Open Rev. 2018 Aug;3(8):442–448.
- Kozinn SC, Scott R. Unicondylar knee arthroplasty. J Bone Joint Surg Am. 1989 Jan;71(1):145–150.
- Pandit H, Jenkins C, Weston-Simons S, et al. ARE KOZINN-SCOTT CONTRA-INDICATIONS CORRECT FOR A MOBILE BEARING UNICOMPARTMENTAL KNEE REPLACEMENT? Orthopaedic Proceedings. 2012 94-B(SUPP_IX):27.
- Felts E, Parratte S, Pauly V, et al. Function and quality of life following medial unicompartmental knee arthroplasty in patients 60 years of age or younger. Orthop Traumatol Surg Res. 2010 Dec;96(8):861–867.
- Fabre-Aubrespy M, Ollivier M, Pesenti S, et al. Unicompartmental Knee Arthroplasty in Patients Older Than 75 Results in Better Clinical Outcomes and Similar Survivorship Compared to Total Knee Arthroplasty. A Matched Controlled Study. J Arthroplasty. 2016 Dec;31(12):2668–2671.
- Newman J, Pydisetty RV, Ackroyd C. Unicompartmental or total knee replacement: the 15-year results of a prospective randomised controlled trial. J Bone Joint Surg Br. 2009 Jan;91(1):52–57.
- Arirachakaran A, Choowit P, Putananon C, et al. Is unicompartmental knee arthroplasty (UKA) superior to total knee arthroplasty (TKA)? A systematic review and meta-analysis of randomized controlled trial. Eur J Orthop Surg Traumatol. 2015 Jul;25(5):799–806.
- Murray DW, Liddle AD, Dodd CA, et al. Unicompartmental knee arthroplasty: is the glass half full or half empty? Bone Joint J. 2015 Oct;97-b(10 Suppl A):3–8.
- Berend KR, Berend ME, Dalury DF, et al. Consensus Statement on Indications and Contraindications for Medial Unicompartmental Knee Arthroplasty. J Surg Orthop Adv. 2015 Winter;24(4):252–256.
- Goodfellow JW, Kershaw CJ, Benson MK, et al. The Oxford Knee for unicompartmental osteoarthritis. The first 103 cases. J Bone Joint Surg Br. 1988 Nov;70(5):692–701.
- Hurst JM, Berend KR. Mobile-bearing unicondylar knee arthroplasty: the Oxford experience. Orthop Clin North Am. 2015 Jan;46(1):113–124.
- Ye J, Yang X, Lian-Sheng D, et al. Compared to TKA or HTO, will you choose UKA to treat medial compartmental knee osteoarthritis? A review paper on UKA. J Phys Ther Sports Med. 2018 2(1):26–32.
- Mancuso F, Dodd CA, Murray DW, et al. Medial unicompartmental knee arthroplasty in the ACL-deficient knee. J Orthop Traumatol. 2016 Sep;17(3):267–275.
- Suter L, Roth A, Angst M, et al. Is ACL deficiency always a contraindication for medial UKA? Kinematic and kinetic analysis of implanted and contralateral knees. Gait Posture. 2019 Feb;68:244–251.
- van der List JP, Chawla H, Zuiderbaan HA, et al. The Role of Preoperative Patient Characteristics on Outcomes of Unicompartmental Knee Arthroplasty: A Meta-Analysis Critique. J Arthroplasty. 2016 Nov;31(11):2617–2627.
- OrthoInfo. Unicompartmental Knee Replacement. https://orthoinfo.aaos.org/en/treatment/unicompartmental-knee-replacement. Updated April 2016. Accessed July 18, 2020.
- Panni AS, Vasso M, Cerciello S, et al. Unicompartmental knee replacement provides early clinical and functional improvement stabilizing over time. Knee Surg Sports Traumatol Arthrosc. 2012 Mar;20(3):579–585.
- Siman H, Kamath AF, Carrillo N, et al. Unicompartmental Knee Arthroplasty vs Total Knee Arthroplasty for Medial Compartment Arthritis in Patients Older Than 75 Years: Comparable Reoperation, Revision, and Complication Rates. J Arthroplasty. 2017 Jun;32(6):1792–1797.
- Kerkhoffs GM, Servien E, Dunn W, et al. The influence of obesity on the complication rate and outcome of total knee arthroplasty: a meta-analysis and systematic literature review. J Bone Joint Surg Am. 2012 Oct 17;94(20):1839–1844.
- Molloy J, Kennedy J, Jenkins C, et al. Obesity should not be considered a contraindication to medial Oxford UKA: long-term patient-reported outcomes and implant survival in 1000 knees. Knee Surg Sports Traumatol Arthrosc. 2019 Jul;27(7):2259–2265.
- Lum ZC, Crawford DA, Lombardi AV, Jr., et al. Early comparative outcomes of unicompartmental and total knee arthroplasty in severely obese patients. Knee. 2018 Jan;25(1):161–166.
- Kleeblad LJ, van der List JP, Zuiderbaan HA, et al. Larger range of motion and increased return to activity, but higher revision rates following unicompartmental versus total knee arthroplasty in patients under 65: a systematic review. Knee Surg Sports Traumatol Arthrosc. 2018 Jun;26(6):1811–1822.
- Witjes S, Gouttebarge V, Kuijer PP, et al. Return to Sports and Physical Activity After Total and Unicondylar Knee Arthroplasty: A Systematic Review and Meta-Analysis. Sports Med. 2016 Feb;46(2):269–292.
- Jahnke A, Mende JK, Maier GS, et al. Sports activities before and after medial unicompartmental knee arthroplasty using the new Heidelberg Sports Activity Score. Int Orthop. 2015 Mar;39(3):449–454.
- Waldstein W, Kolbitsch P, Koller U, et al. Sport and physical activity following unicompartmental knee arthroplasty: a systematic review. Knee Surg Sports Traumatol Arthrosc. 2017 Mar;25(3):717–728.
- Newman JH, Ackroyd CE, Shah NA. Unicompartmental or total knee replacement? Five-year results of a prospective, randomised trial of 102 osteoarthritic knees with unicompartmental arthritis. J Bone Joint Surg Br. 1998 Sep;80(5):862–865.
- Costa CR, Johnson AJ, Mont MA, et al. Unicompartmental and total knee arthroplasty in the same patient. J Knee Surg. 2011 Dec;24(4):273–278.
- Niinimäki T, Eskelinen A, Mäkelä K, et al. Unicompartmental knee arthroplasty survivorship is lower than TKA survivorship: a 27-year Finnish registry study. Clin Orthop Relat Res. 2014 May;472(5):1496–1501.
- Chawla H, van der List JP, Christ AB, et al. Annual revision rates of partial versus total knee arthroplasty: A comparative meta-analysis. Knee. 2017 Mar;24(2):179–190.
- Garner A, van Arkel RJ, Cobb J. Classification of combined partial knee arthroplasty. Bone Joint J. 2019 Aug;101-b(8):922–928.
- Danish Clinical Registries. Danish Knee Arthroplasty Register. https://www.danishhealthdata.com/find-health-data/Dansk-Knaealloplastik-Register. Accessed July 19, 2020.
- Liddle AD, Judge A, Pandit H, et al. Adverse outcomes after total and unicompartmental knee replacement in 101,330 matched patients: a study of data from the National Joint Registry for England and Wales. Lancet. 2014 Oct 18;384(9952):1437–1445.
- Goodfellow JW, O'Connor JJ, Murray DW. A critique of revision rate as an outcome measure: re-interpretation of knee joint registry data. J Bone Joint Surg Br. 2010 Dec;92(12):1628–1631.
- Mohammad HR, Strickland L, Hamilton TW, et al. Long-term outcomes of over 8,000 medial Oxford Phase 3 Unicompartmental Knees-a systematic review. Acta Orthop. 2018 Feb;89(1):101–107.
- Castiello E, Affatato S. Progression of osteoarthritis and reoperation in unicompartmental knee arthroplasty: A comparison of national joint registries. Int J Artif Organs. 2020 Mar;43(3):203–207.
- Liddle AD, Pandit H, Judge A, et al. Effect of Surgical Caseload on Revision Rate Following Total and Unicompartmental Knee Replacement. J Bone Joint Surg Am. 2016 Jan 6;98(1):1–8.
- Liddle A, Pandit H, Judge A, et al. Optimizing Outcomes Following Unicompartmental Knee Replacement: Insights from a Study of 25,982 Cases (Scientific Exhibit SE11) [abstract]. American Academy of Orthopaedic Surgeons Annual Meeting; 2015.
- Hamilton TW, Rizkalla JM, Kontochristos L, et al. The Interaction of Caseload and Usage in Determining Outcomes of Unicompartmental Knee Arthroplasty: A Meta-Analysis. J Arthroplasty. 2017 Oct;32(10):3228–3237.e3222.
- Baker P, Jameson S, Critchley R, et al. Center and surgeon volume influence the revision rate following unicondylar knee replacement: an analysis of 23,400 medial cemented unicondylar knee replacements. J Bone Joint Surg Am. 2013 Apr 17;95(8):702–709.
- Evans JT, Walker RW, Evans JP, et al. How long does a knee replacement last? A systematic review and meta-analysis of case series and national registry reports with more than 15 years of follow-up. Lancet. 2019 Feb 16;393(10172):655–663.
- Beard DJ, Davies LJ, Cook JA, et al. The clinical and cost-effectiveness of total versus partial knee replacement in patients with medial compartment osteoarthritis (TOPKAT): 5-year outcomes of a randomised controlled trial. Lancet. 2019 Aug 31;394(10200):746–756.
- Chen JY, Lo NN, Jiang L, et al. Simultaneous versus staged bilateral unicompartmental knee replacement. Bone Joint J. 2013 Jun;95-b(6):788–792.
- Romagnoli S, Zacchetti S, Perazzo P, et al. Onsets of complications and revisions are not increased after simultaneous bilateral unicompartmental knee arthroplasty in comparison with unilateral procedures. Int Orthop. 2015 May;39(5):871–877.
- Argenson JN, Blanc G, Aubaniac JM, et al. Modern unicompartmental knee arthroplasty with cement: a concise follow-up, at a mean of twenty years, of a previous report. J Bone Joint Surg Am. 2013 May 15;95(10):905–909.
- Bedard NA, DeMik DE, Dowdle SB, et al. Trends and risk factors for prolonged opioid use after unicompartmental knee arthroplasty. Bone Joint J. 2018 Jan;100-b(1 Supple A):62–67.


