Helical plating provides well-balanced load sharing in laterally plated femoral defect fractures
Introduction
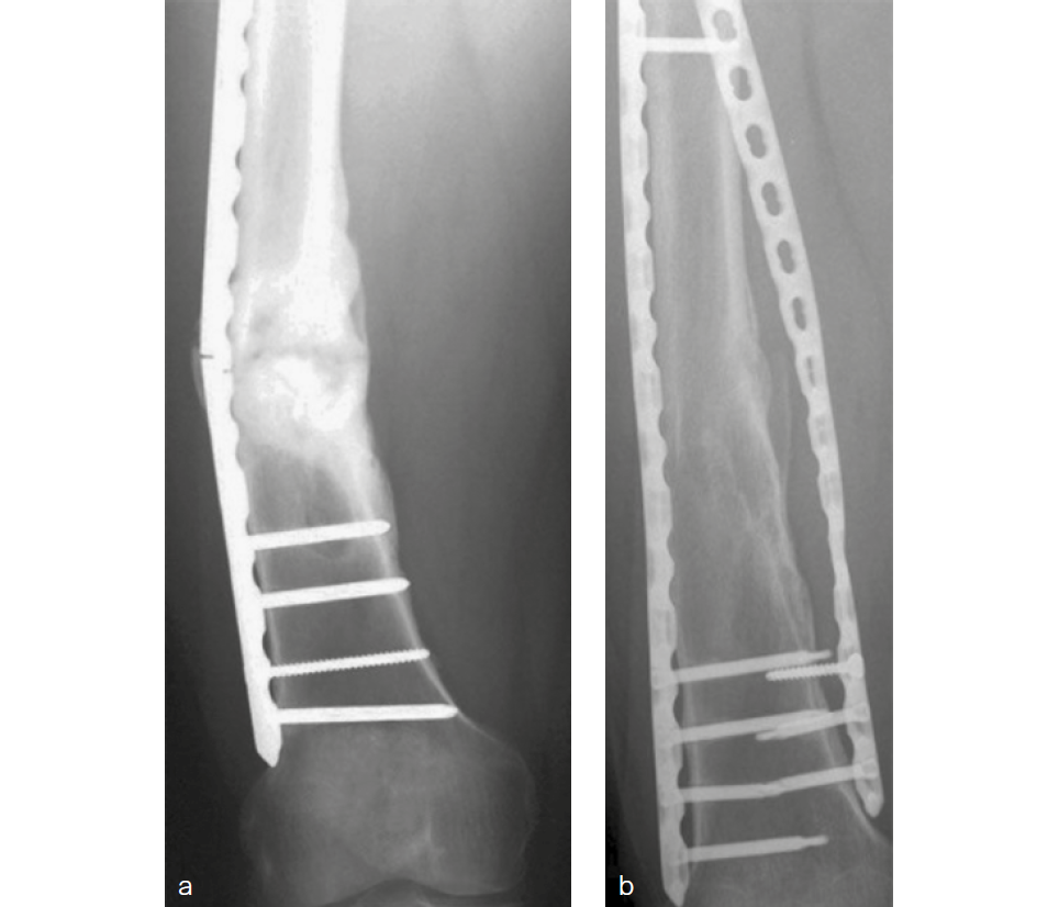
Single-plate fixation bridging bone defects provokes nonunion and risks plate-fatigue failure due to under dimensioned implants. Adding a helical plate to bridge the fracture increases stiffness and balances load sharing (Fig 1). The aim of this project was to compare stiffness and plate surface strain of different constructs in a transverse contact and gap femoral shaft fracture model.
Materials and Methods
Eight groups of six synthetic femora each were formed: intact femora; intact femora with lateral locking plate; contact and gap transverse shaft osteotomies each with lateral locking plate, lateral locking plate and helical locking plate, and long proximal femoral nail. Constructs underwent non-destructive quasi-static axial and torsional loading. Plate surface strain evaluation was performed under 200 N axial loading.
Results
Constructs with both lateral and helical plates demonstrated similar axial and torsional stiffness, independent of the contact or gap situations, being significantly higher compared with lateral plating (P <.01). Torsional stiffness of the constructs, with both lateral and helical plates in the gap situation, was significantly higher compared with this situation stabilized by a nail (P < .01). Plate surface strain dropp ed from 0.3% in the gap situation with a lateral plate to < 0.1% in this situation with both a lateral and a helical plate (Fig 2).
Discussion
Additional helical plating increases axial and torsional construct stiffness in synthetic bone and provides well-balanced load sharing. Its use should be considered in demanding situations for gap or defect fractures, where single-plate osteosynthesis provides inadequate stiffness for fracture healing and induces nonunion.
You might also be interested in
Statistical analysis of humeral fractures
Allows identification of zones with highest fracture probability.
Pancarpal arthrodesis in canine
Although oval radiocarpal holes provide more options, they increase predicted failure risk.

